의료상담
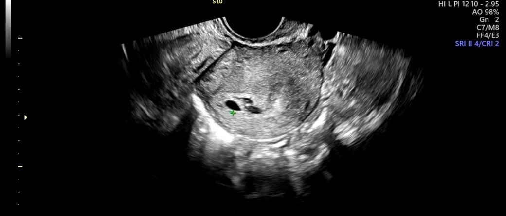
아기집 주위에 보이는건 뭘까요..?
성별
여성
나이대
30대
왼쪽에 있는게 아기집(0.54cm) 설명들었는데
그 옆쪽에 있는 두개 보이는건 뭘까요 ?? ㅠㅠ 피고임일까요? 걱정됩니다 ㅠㅠㅠ 위험한 건지 유산기 있는건지도 알려주세요 ㅠ
아직 답변이 없어요.
의료상담
성별
여성
나이대
30대
왼쪽에 있는게 아기집(0.54cm) 설명들었는데
그 옆쪽에 있는 두개 보이는건 뭘까요 ?? ㅠㅠ 피고임일까요? 걱정됩니다 ㅠㅠㅠ 위험한 건지 유산기 있는건지도 알려주세요 ㅠ
아직 답변이 없어요.