아하
  • 토픽

  • 스파링

  • 잉크

  • 미션


의료상담

언제나엄준한감자칩

언제나엄준한감자칩

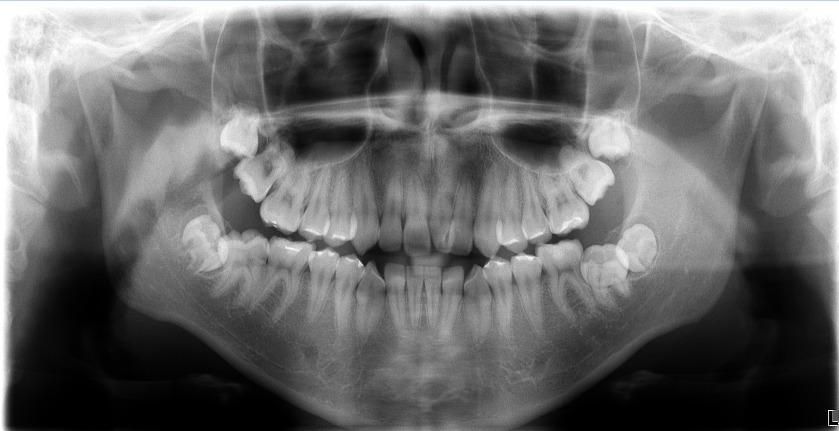
잇몸이 불편합니다. 엑스레이 봐주세요

1달 전에 오른쪽 아랫어금니쪽 잇몸이 부은 것 같아서 치과에 가니 엑스레이찍고 이것저것 체크해보더니 크게 이상있는 건 없다고 했어요. 그런데 며칠전부터 왼쪽 아래 잇몸이 불편합니다

엑스레이상에 보이는 게 있을까요?

  • 1번 째 사진

2개의 답변이 있어요!

  • 김철진 치과의사

    김철진 치과의사

    가까운우리치과

    안녕하세요. 김철진 치과의사입니다.

    사진상으로 오른쪽 아래 어금이 맹출방향이 약간 문제가 잇어서 잇몸관리가 안되는거 같습니다. 전체적으로 스켈링 및 잇몸치료를 먼저 받아보세요.

  • 안녕하세요. 최석민 치과의사입니다.

    잇몸이 차례로 부은 것은 아마도 사랑니 때문일 것 같습니다. 사랑니가 맹출중이고요 잇몸을 건드리면서 불편을 야기할 수도 있습니다

    추가적으로 왼쪽 아래 두번째 큰 어금니도 맹출방향이 바르지 않습니다 이와 관련하여 공간이 부족하지는 않는지 상담 받아보시면 좋을 것 같습니다