홈
토픽
스파링
잉크
미션
전문가 신청
베리몰
나도 질문하기
의료상담
다시봐도진지한달팽이
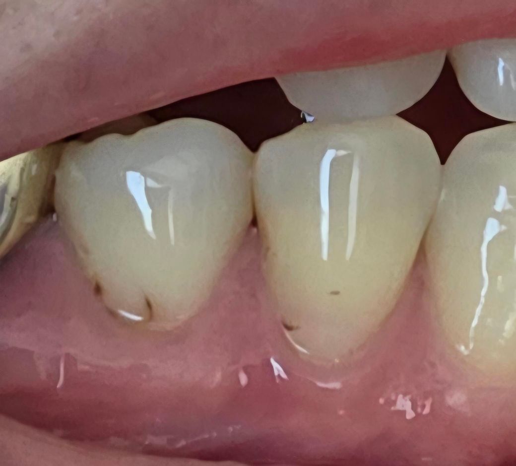
한달전 다른 치아 치료했을 때 별말 없었는데
오늘 갑자기 잇몸이 아파서 보니 왼쪽 치아가 시리고
까만불도 있어요" 무슨 치료가 필요할까요?
사진 보기
2개의 답변이 있어요!
김철진 치과의사
가까운우리치과
∙
안녕하세요. 김철진 치과의사입니다.
예전에 치경부 마모증에 레진치료를 한게 착색이 발생한거 같습니다. 큰 문제가 잇는건 아니니 너무 걱정하지 않으셔도 됩니다.
5.0 (1)
응원하기
최석민 치과의사
강원도 원주의료원
안녕하세요. 최석민 치과의사입니다.
까만 건 충치의 양상은 아니고 이전에 떼운 레진 재료가 약간 변색된 것 같습니다. 그거 때문에 잇몸이 아프진 않을거고요. 잇몸에 염증이 있으면 약간 통증이 있을 수 있습니다. 잇몸치료, 스케일링 받으세요
1
정말 감사해요
100