아하
  • 토픽

  • 스파링

  • 잉크

  • 미션


의료상담

총명한사슴33

총명한사슴33

25.03.28

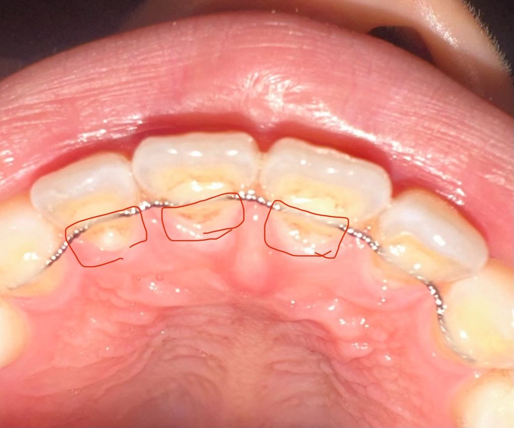
유지장치 붙은 앞니쪽에 검은게 보여요

양치하다 보니까 유지장치 붙은 앞니쪽에 검은게 보여요.

치석제거는 2개월 전에 했는데 이게 뭘까요??

아랫니는 없고 윗니에만 있어요ㅠ

  • 1번 째 사진

4개의 답변이 있어요!

  • 김철진 치과의사

    김철진 치과의사

    가까운우리치과

    25.03.29

    안녕하세요. 김철진 치과의사입니다.

    유지장치를 붙혀 놓은 레진이 시간이 지나면서 착색이 된거 같습니다. 스켈링을 하면 제거가 될것같습니다.

  • 안녕하세요. 김지훈 치과의사입니다.

    치석일 수도 있고 레진이 착색된 것일 수도 있습니다. 그다지 문제가 될 것 같지는 않습니다.

  • 안녕하세요. 최석민 치과의사입니다.

    치아 또는 유지장치 붙여둔 재료의 변색, 착색으로 보입니다 한번의 스케일링으로 완전히 제거안될 수도 있습니다

  • 안녕하세요. 송우식 치과의사입니다.

    커피, 차, 초콜렛 등과 같은 색인 강한 음식이 유지장치에 남아착색이 된 것으로 보입니다. 특히 흡연자는 니코틴과 타르 성분이 유지장치 주변에 쌓여 검게 변색될수 있습니다.

    치과에서 폴리싱을 받는 것이 도움이 됩니다.

    만족스러운 답변되셨으면 합니다.

    감사합니다.