의료상담
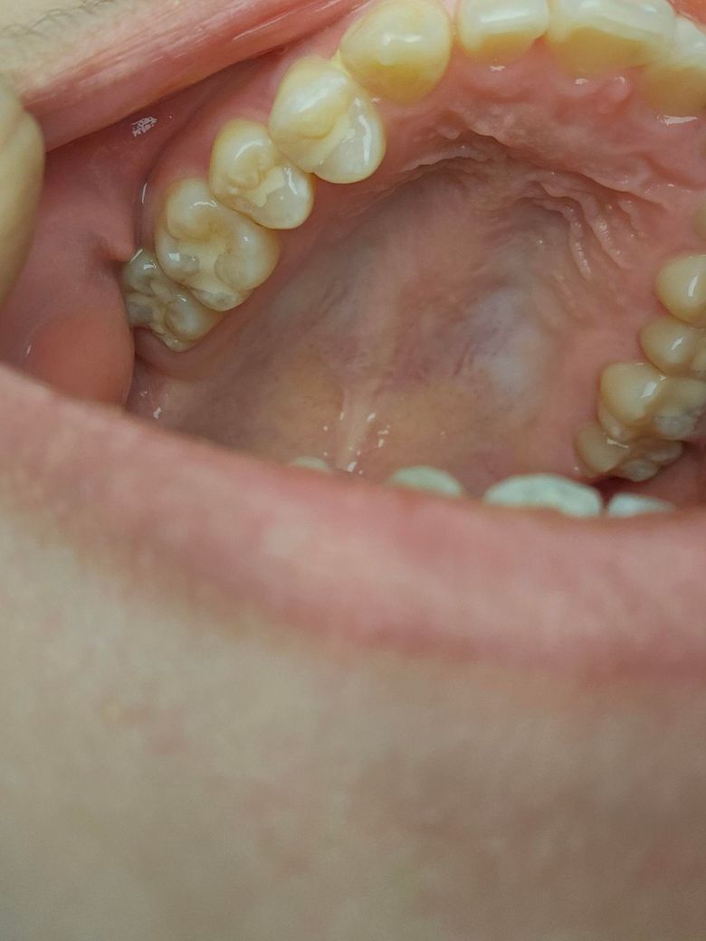
어금니 쪽이 시린데 충치일까요..??
요즘 그냥 가만히 있어도 갑자기 어금니 쪽에 바람이 부는 듯한 시림이 가끔 있어서요.. 평소 저도 모르게 이를 꽉깨무는 습관이 있긴 한데 이러한 습관도 영향을 주나요?
1개의 답변이 있어요!
안녕하세요. 최석민 치과의사입니다.
1. 떼운 것 하방으로 이차충치가 있어서 그럴 수도 있습니다.
2. 이 악물기 습관으로 인해 치아가 마모되고 이런게 치아 시림에 영향을 줄 수 있습니다.
요즘 그냥 가만히 있어도 갑자기 어금니 쪽에 바람이 부는 듯한 시림이 가끔 있어서요.. 평소 저도 모르게 이를 꽉깨무는 습관이 있긴 한데 이러한 습관도 영향을 주나요?
안녕하세요. 최석민 치과의사입니다.
1. 떼운 것 하방으로 이차충치가 있어서 그럴 수도 있습니다.
2. 이 악물기 습관으로 인해 치아가 마모되고 이런게 치아 시림에 영향을 줄 수 있습니다.