의료상담
신경치료 후 사랑니 발치 질문 (어려운 사랑니인가요??)
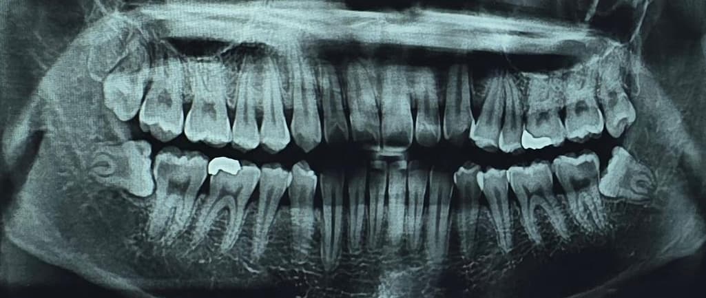
아래 양 쪽 모두 한쪽은 신경치료, 한쪽은 충치치료를 먼저 받고 사랑니 발치를 하자고 하셨는데, 발치할 때 신경치료한 부분에 문제는 없겠죠..??
그리고 누워있는 매복 사랑니는 뺄 때 힘들다고 하는데, 통증이 심하다거나 빼는 과정이 어려운 사랑니인지 궁금합니다..! 20대 초반이고 겁쟁이라서 질문드려요..감사합니다
55글자 더 채워주세요.
4개의 답변이 있어요!
안녕하세요. 김철진 치과의사입니다.
쉬운 발치는 아니지만 그렇다고 엄청 어려운 발치는 아닐것같습니다. 20대 초반이시라면 사랑니 전문 치과에 가시면 쉽게 발치해줄것같습니다.
안녕하세요. 안상우 치과의사입니다.
사랑니가 기울어져 나있고 뿌리가 휘어져 있어. 발치를 하는 과정이 힘들 수도 있습니다. 하지만 20대라면 뼈가 단단한 편이 아니기 때문에 사랑니가 나오는데 수월할 수 있습니다. 사랑니를 발치하고 신경치료를 하는 치료는 어려운 치료는 아닙니다.
안녕하세요. 최석민 치과의사입니다.
신경과 가깝고 옆 어금니와 겹쳐 있어서 주의할 필요는 있으나 다행히 뿌리가 안쪽으로 수렴하는 형태이고, 아직 20대라 젊어서 아주 어려운 케이스는 아닐 것 같습니다. 발치 시 마취만 잘되면 통증 없습니다.
안녕하세요. 김지훈 치과의사입니다.
사랑니는 누워있는 각도가 큰 편이라 난이도 또한 높은 편입니다. 구강외과 전문의한테 뽑는 게 좋아보입니다.

