아핫뉴스실시간 인기검색어
아핫뉴스 화산 이미지
화산 아이콘 11
안중근 유묵 특별전 개최
아하

의료상담

이비인후과

청렴한멧토끼14
청렴한멧토끼14

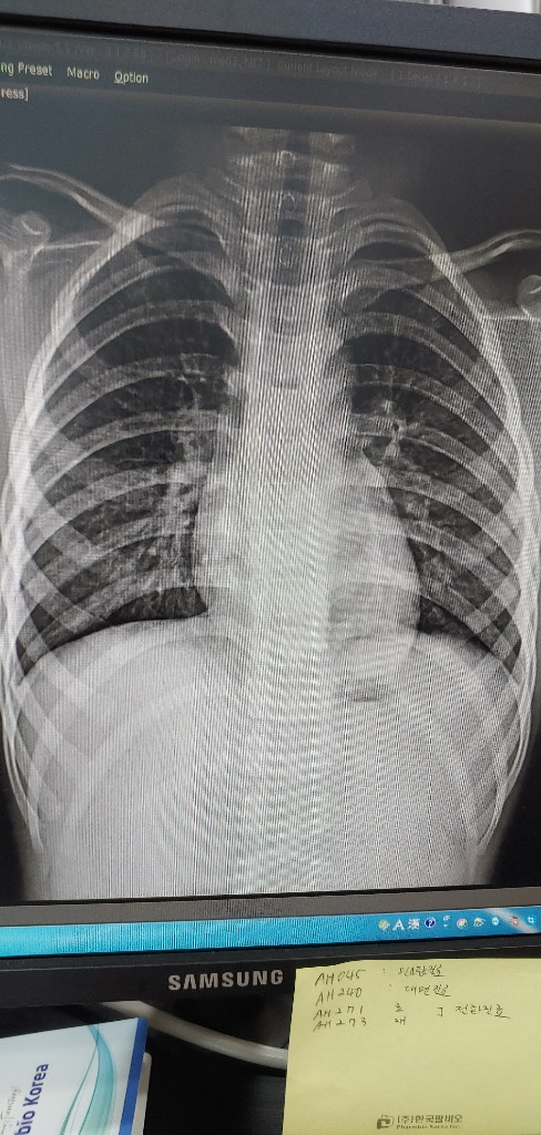
5세 아이 가래가 심해요 엑스레이상 큰 문제는 없다고 합니다.

성별
여성
나이대
5
기저질환
없음
복용중인 약
감기약



5세 여아 며칠전부터 시작된 감기가 영 좋아지질 않아서 여쭙습니다.

이튿날까지는 열이 나서 코로나 신속항원을 했는데 음성이였습니다.

후에 열은 떨어졌는데 기침할 때마다 가래가 심해 아이가 힘들어합니다.

현재 기침 시럽과 항생제를 복용중인데도 크게 나아지질 않는 것 같아 엑스레이를 찍어보았는데 큰 이상은 없다고 합니다

그리고 오늘 다시 열이납니다.

내렸던 열이 또 날 수도 있나요?

그리고 가래가 나아지지 않는데 어떻게 해야하나요?

  • 1번 째 사진
1개의 답변이 있어요!
  • 안녕하세요. 최병관 의사입니다.

    가래는 보통 폐가 손상되거나 질환에 이환되었을 때 발생합니다. 가래는 침과는 다른 점성이 높은 점액이며 일반적으로 기관지는 점액을 분비하여 호흡기를 촉촉하고 보호하는데 외부에서 침입한 작은 입자들을 포획하여 바깥으로 내보낸 결과물입니다. 특히 폐에 감염성 질환이 발병하면 점액의 분비가 많아지며 제거하기위해 기침을 통해 가래를 배출하게 됩니다.

    그러므로 시일이 지나면 일반적으로 저절로 사라지나 상기도 감염 후에도 상당 시간이 흐른뒤에도 지속적으로 가래는 발생할 수 있습니다. 또한 기침이 잦을 경우 위산 등이 역류하여 후두에 염증을 일으키는 역류성 후두염으로 인해 목에서는 이물감을 느낄 수도 있습니다.

    하지만 항생제를 복용 중에도 다시 열이 난다면 내원하시어 검사를 받아보시는 것이 좋겠습니다.