아하
  • 토픽

  • 스파링

  • 잉크

  • 미션


의료상담

확실히자랑스러운간짜장

확실히자랑스러운간짜장

25.03.12

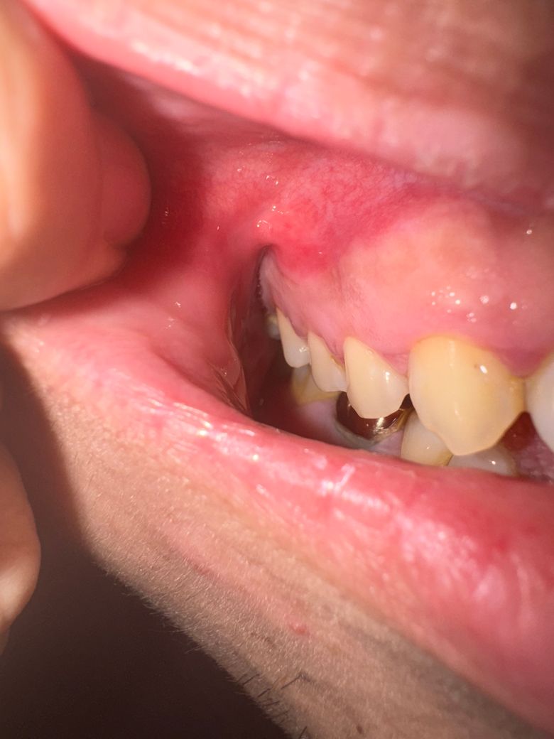
구강암은 아니겠죠? 한번만 봐주십쇼 ㅠ

성별

남성

나이대

28

한달전 넘게 구내염 생기고 난 자리가 붉은병변 붓기처럼 남았는데 처음보단 확실히 작아졌는데 안사라져서 괜찮은건지 걱정되어 질문드립니다

통증은 없고 불편함도 없고 크기는 커지진 않고

처음보단 확실히 줄어든 느낌입니다.

  • 1번 째 사진
  • 2번 째 사진

1개의 답변이 있어요!

  • 채홍석 가정의학과 전문의

    채홍석 가정의학과 전문의

    유성선병원

    25.03.12

    안녕하세요. 채홍석 가정의학과 전문의입니다.

    업로드해주신 증상의 설명과 자료는 잘 보았습니다

    한달전 넘게 구내염 생기고 난 자리가 붉은병변 붓기처럼 남았는데 처음보단 확실히 작아졌는데 안사라져서 괜찮은건지 걱정되어 질문드립니다 이 점이 궁금하셨군요

    일단 현재 올려주신 사진에는 해당되는 병변이 뚜렷이 보이지 않습니다. 눈에 띄는 이상이 없다는 것은 악성병변의 가능성은 높지 않다는 이야기입니다 대부분의 악성병변은 호전이 되지 않거나 악화가 되니까요. 환자분 본인이 거울을 보았을 때 1개월전보다 호전이 되었다면 크게 걱정하지 않으셔도 될 것으로 보입니다. 경과를 주시해주세요