아하
  • 토픽

  • 스파링

  • 잉크

  • 미션


의료상담

은근히두근거리는사랑꾼

은근히두근거리는사랑꾼

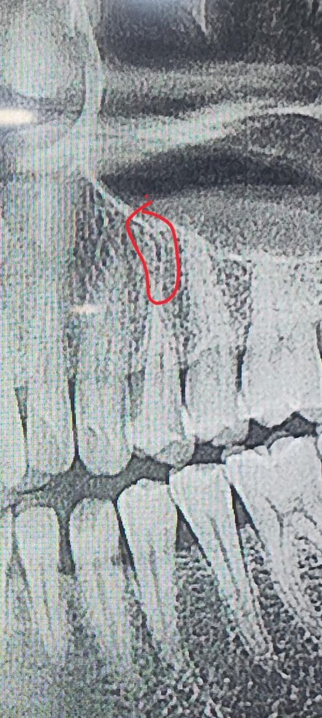
치아파절 된건지 엑스레이보시고 답변 부탁드려요

엑스레이사진상 동그라미 해당하는 부위 검은 선

같은게 있는데 혹시 이거 세로로 치아 파절된건가여??

뽑아야 할까요?? 이선의 정체가 궁금합니다

  • 1번 째 사진

2개의 답변이 있어요!

  • 한성미 치과위생사

    한성미 치과위생사

    제주관광대학교

    안녕하세요. 한성미 치과위생사입니다.

    표시해주신 것은 치아의 뿌리입니다. 해당치아는 볼쪽과 입천장 쪽으로 뿌리가 각 1개씩 총 두개가 있는 치아인데 엑스레이는 평면으로만 표현이 되기 때문에 두개의 뿌리가 겹쳐져서 그렇기 보이는 것입니다. 그리고 파절선은 파노라마에 쉽게 보이지 않고, 만약 파노라마에 보일만큼의 파절이라면 엄청 아프셨을겁니다.

  • 안녕하세요. 최석민 치과의사입니다.

    치근 파절로 보이진 않습니다. 해당 치아의 neurovascular canal 로 보입니다. 정상구조입니다.