아하
  • 토픽

  • 스파링

  • 잉크

  • 미션


의료상담

대담한할미새242

대담한할미새242

우측 상단 어금니 시림증상 문의드립니다.

약 한달 전 질긴고기를 먹고 난 이후에 우측 상단 어금니 통증과 시림이 시작되었습니다.

놔두면 사라지겠거니 했지만 생각보다 오래지속되어서 집근처 병원 두군데를 가봤지만 큰이상은 없고 그냥 오른쪽으로 당분간 씹지 말고 쉬게해라 라는 진단만 받았습니다

음식먹을땐 전혀 안아프고 뜨거운 음식에도 통증 전혀 없습니다.

통증 발현일로부터 2주뒤 욱씬거리는 통증은 많이 사라졌지만 찬물을 먹을때 시린건 여전합니다.

어느 한 부위에 찬물이 닿았을때 시린게 아니라 그냥 어금니 어디에 닿아도 시립니다.

그리고 오른쪽 볼 아래에 얼얼함이 느껴지기도 합니다.

다른치과를 또 가봐야할지 고민입니다.

턱관절 장애 20년 병력으로 인해 턱을 잘 못 벌리다보니 치과가서 진단받는것도 힘들긴하네요..ㅠㅠ

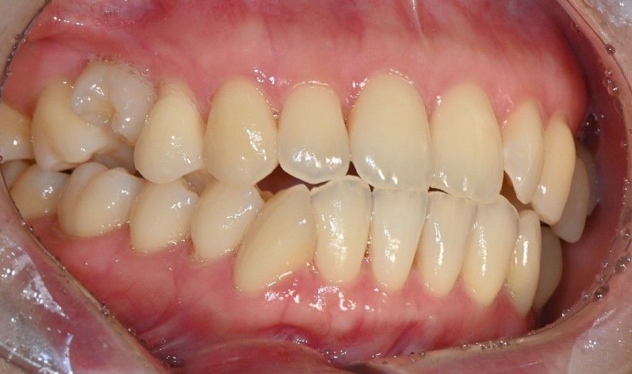
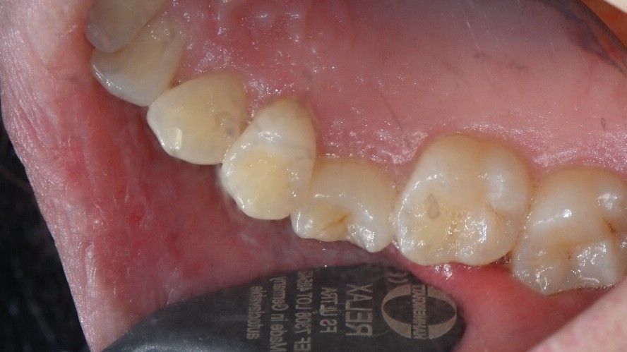
  • 1번 째 사진
  • 2번 째 사진
  • 3번 째 사진

4개의 답변이 있어요!

  • 김철진 치과의사

    김철진 치과의사

    가까운우리치과

    안녕하세요. 김철진 치과의사입니다.

    턱관절이 안좋아서 치아가 불편하게 느낄수도 잇으니 일단 근이완제를 먼저 드셔보시는게 좋을것같습니다.

  • 안녕하세요. 김지훈 치과의사입니다.

    사진상으로는 특별히 문제가 보이지 않습니다. 치아의 문제가 아닌 신경에 문제가 있을수도 있습니다.

  • 안녕하세요. 최석민 치과의사입니다.

    1. 시린이 치약을 써보시고 당분간은 부드러운 음식을 드시기 바랍니다.

    2. 현재로선 엑스레이 상에선 특별히 이상은 없어보입니다.

    3. 첫번째 큰 어금니, 두번째 작은 어금니 사이에 음식물이 잘 끼어 충치가 잘 유발될 수 있는 구조이므로 치실질 잘해주셔야 합니다.

  • 안녕하세요. 안상우 치과의사입니다.

    치아에 이상이 없는 상태에서도 통증이 있다면 치아에 과도한 힘이 가해지고 있을 가능성이 있습니다.

    턱관절 질환은 주로 턱에 가해지는 힘이 강할때 생기는데 턱관절에 힘이 가해지는 순간에 치아에도 힘이 가해지게 됩니다.

    치아에 가해지는 힘을 줄여보는것이 좋습니다.