아하
  • 토픽

  • 스파링

  • 잉크

  • 미션


의료상담

보통은익살스러운복분자

보통은익살스러운복분자

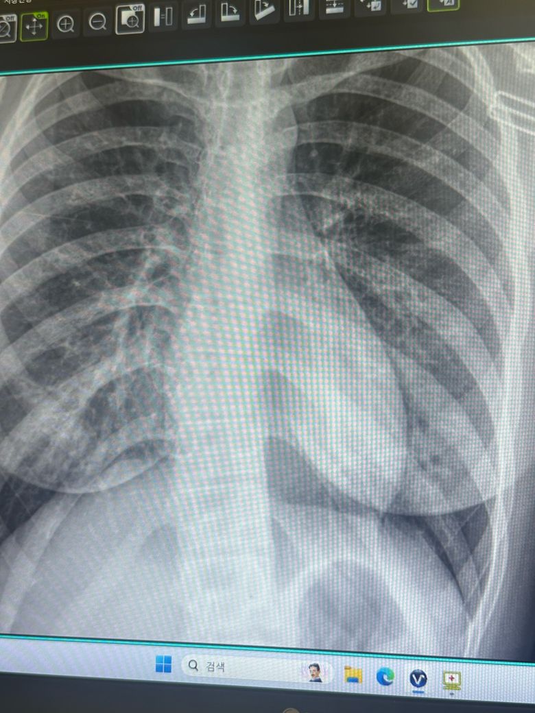
폐 엑스레이를 찍었는데 폐에 하얀색이 너무 많아요

성별

여성

나이대

20대

사진을 보시면 전체적으로 하얗지는 않았는데 왼쪽 오른쪽 폐에 흰색이 많이 보여요 내일 CT를 찍을거지만 너무 걱정이 되어서 올려봅니다 ㅠㅠ 많이 심각할까요 기침이랑 가래가 2달 째라 폐렴인 것 같다는 생각이 들긴하는데 상태 보고 알려주세요

  • 1번 째 사진

1개의 답변이 있어요!

  • 남희성 의사

    남희성 의사

    대학병원 재활의학과

    안녕하세요. 남희성 의사입니다.

    내과에서 찍으셨나요? 내과 선생님은 뭐라고 하시던가요?

    제가 판단하기에는 문제 없는 X-ray로 보이며 하얀색으로 보인다고 하시는 부위는 기관지의 정상 음영이지 문제있는 모습으로 보이지 않습니다.