의료상담
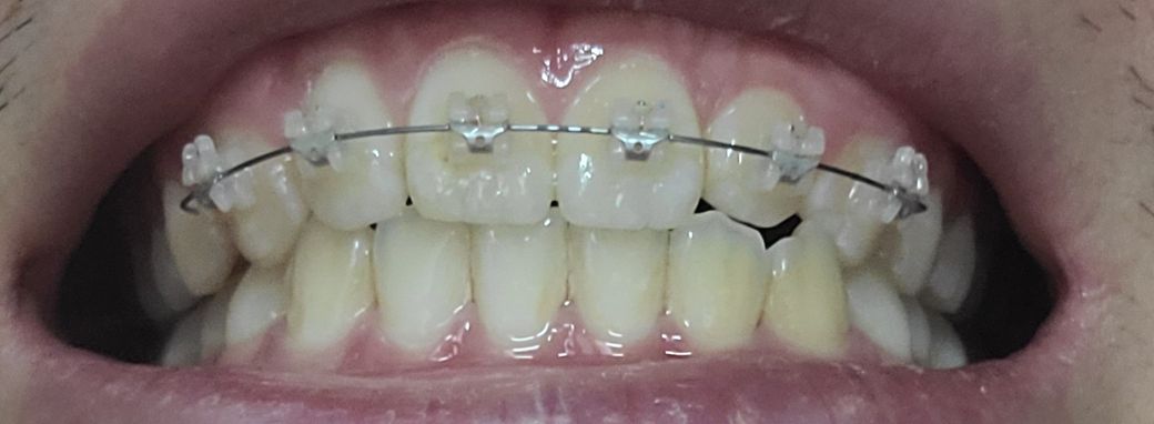
앞니치아가 앞뒤로 1~3mm공간이 없으면 절단교합일까요?
앞니들 전후방적으로 1~3mm 정도 공간을 두는게 정상치아 교합일까요?
저는 앞뒤로 공간이 없어보이는데 치아가 마모될수도 있을까요 제앞니 어떼보이시나요?
치아끼리 부딪히면 절단교합이라 봐야하나요??
이를 앙 다물고 찍은 사진입니다
55글자 더 채워주세요.
3개의 답변이 있어요!
안녕하세요. 정진석 치과의사입니다.
절단 교합은 상 하악 앞니가 정확히 일직선으로 맞물려야 합니다. 따라서 지금 정도로 절단교합이라고 하지 않습니다. 또한 음식 섭취 시 앞니는 음식을 간단히 끊는 용도이지 실제로는 어금니가 모든 역할을 합니다. 따라서 해당 치아가 현재로 맞물린다고 해서 마모되지 않습니다. 지금 정도는 교정 중이기 때문에 잘못되었다고 볼수도 없고 절단교합 및 이상이라고 하지 않습니다. 치료를 충실히 받으시길 바랍니다.
아무쪼록 저의 답변이 문제 해결에 작게 나마 도움이 될 수 있기를 기원드립니다. 항상 건강하고, 행복하세요^^
정진석 치과의사 드림
안녕하세요. 이정현 치과의사입니다.
절단교합은 위아래 치아의 끝부분끼리 정확하게 맞닿는 상태를 의미합니다.
사진으로는 오른쪽은 절단교합이 아닌 정상교합이며, 왼쪽은 측절치가 애매하게 보이긴 합니다.
하지만 이 사진만으로는 정확히 알 수 없기때문에, 치료중인 치과에서 상담을 받아보시기 바랍니다. 감사합니다.
안녕하세요. 김철진 치과의사/경제·금융전문가입니다.
말그대로 절단교합은 앞니 끝과 아래니의 끝이 교합이 되는 상태를 말합니다. 사진상으로 보면 절단교합은 아니신거 같아요.

