아하
  • 토픽

  • 스파링

  • 잉크

  • 미션


의료상담

비상하는 올빼미862

비상하는 올빼미862

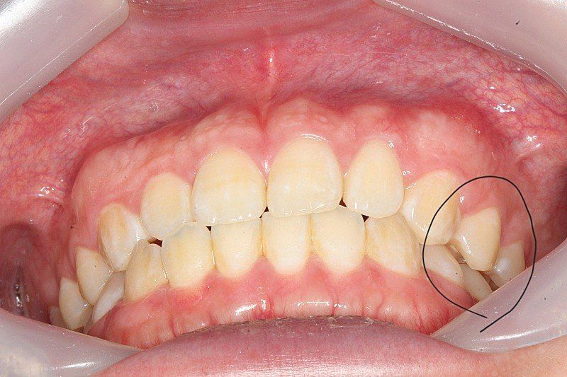
치아교합 윗니앞니가 딱붙어야하나요? 조금 공간있어야 하나요?

1.치아 교합이 어금니 소구치교합이 딱 안맞기도 하나요?

한쪽은 조금 떨어져있고 반대쪽은 딱 붙어있습니다

살짝 떨어져있는게 정상인지 딱 붙어있는게 정상교합인지 모르겠습니다

2.앞니도 윗니가 아랫니를 포개긴 하는데 사이 공간없이 딱붙긴해요 원래 살짝 띄워져야하나요?

3.많이 씹는쪽과 안씹는쪽 교합차이가 날수있나요?

부분교정으로 치료될까요?

  • 1번 째 사진
  • 2번 째 사진
  • 3번 째 사진
  • 4번 째 사진

3개의 답변이 있어요!

  • 송우식 치과의사

    송우식 치과의사

    솔플란트치과 경기도 성남시 모란역

    안녕하세요. 송우식 치과의사입니다.

    1. 치아와 치아가 서로 맞물릴 때 점과 점으로 만나 교합을 이룹니다. 따라서 사진에서 보는 바와 같이

    약간의 공간이 생기는 것은 정상 범주에 속합니다.

    2.앞니도 윗니가 앞으로 나오는 것이 정상입니다. 사진에서는 윗니가 앞으로 나온 양이 적기는 하지만 정상 범주입니다.

    3. 많이 씹는 쪽은 덜 씹는 쪽 보다 턱뼈가 더 발달하고 얼굴 근육도 더 발달하니 양쪽으로 고루 씹는 것이 좋습니다.

  • 안녕하세요. 안상우 치과의사/경제·금융전문가입니다.

    정상교합이란 교합이 되는데 방해가 되지 않는 상태를 말합니다.

    치아의 교합은 균일하게 닿고 있는 것이 좋지만 교합이 약간 떠있어도 기능을 하는데 큰 문제가 없다면 정상적인 교합으로 간주되기도 합니다.

  • 안녕하세요. 정진석 치과의사입니다.

    1. 이상적으로 완전한 교합은 없습니다. 일부 교합이 맞지 않을 수 있으며 저작시 큰 불편감이 없다면 치료 대상이 아닙니다.

    2. 사람에 따라서 닿는 부위가 조금씩 다를 수 있습니다. 지금 사진으로는 정확한 판단이 어려우며 전반적인 구강검사 및 방사선 사진 등이 필요해보입니다.

    3. 보통 많이 씹는 쪽의 교합이 훨씬 더 많은 영향을 받습니다. 즉 교합이 더 잘 맞는 경향이 있고 많이 씹지 않는 쪽이 조금 뜰 수 있습니다.

    아무쪼록 저의 답변이 문제 해결에 작게 나마 도움이 될 수 있기를 기원드립니다. 항상 건강하고, 행복하세요^^

    정진석 치과의사 드림