아하
  • 토픽

  • 스파링

  • 잉크

  • 미션


의료상담

비상하는 올빼미862

비상하는 올빼미862

22.06.03

어금니 교합 및 치아 치열, 전체 교합이 잘맞는건지 알고싶어요

#작은 어금니쪽이 반대쪽과 다르게 딱맞는느낌이 아니고 공간이 남은느낌이들어요 그냥 제기분탓인지 모르겠네요.

#치아 앞쪽?이 부딪히는곳에 가끔 통증이있어요 이유를 모르겠어요

#치아상태보고 교합이나 치열 괜찮은건지 한번봐주세요

#치아에 하얀색 점같은거는 어떻게 제거하나요?

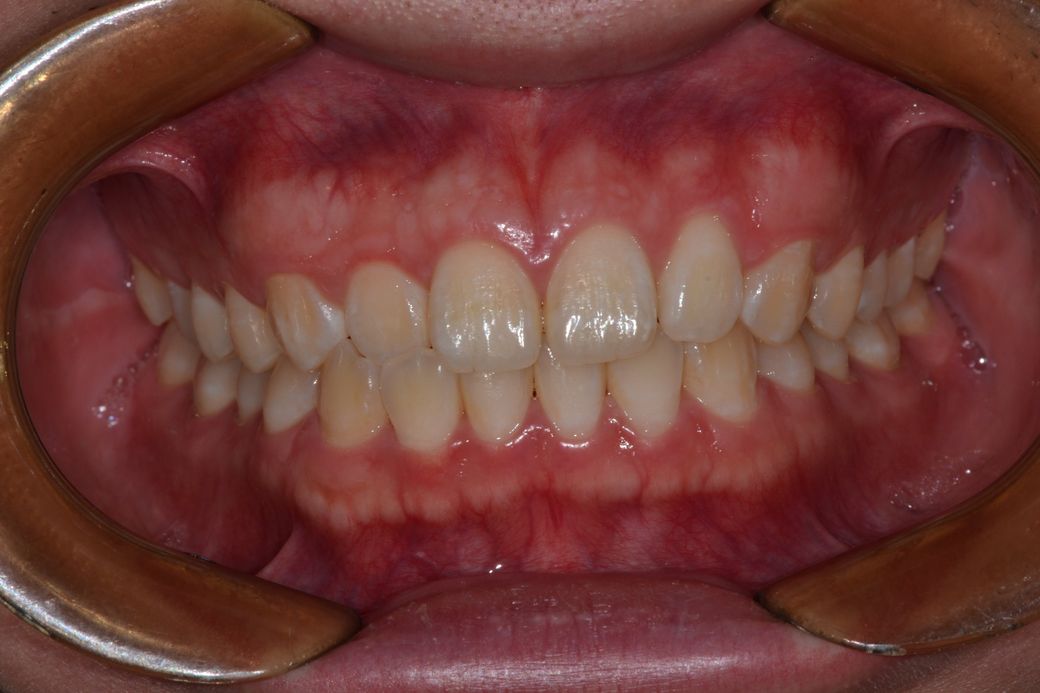
정면

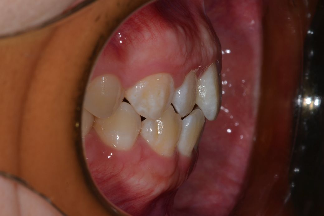
왼쪽1

왼쪽2

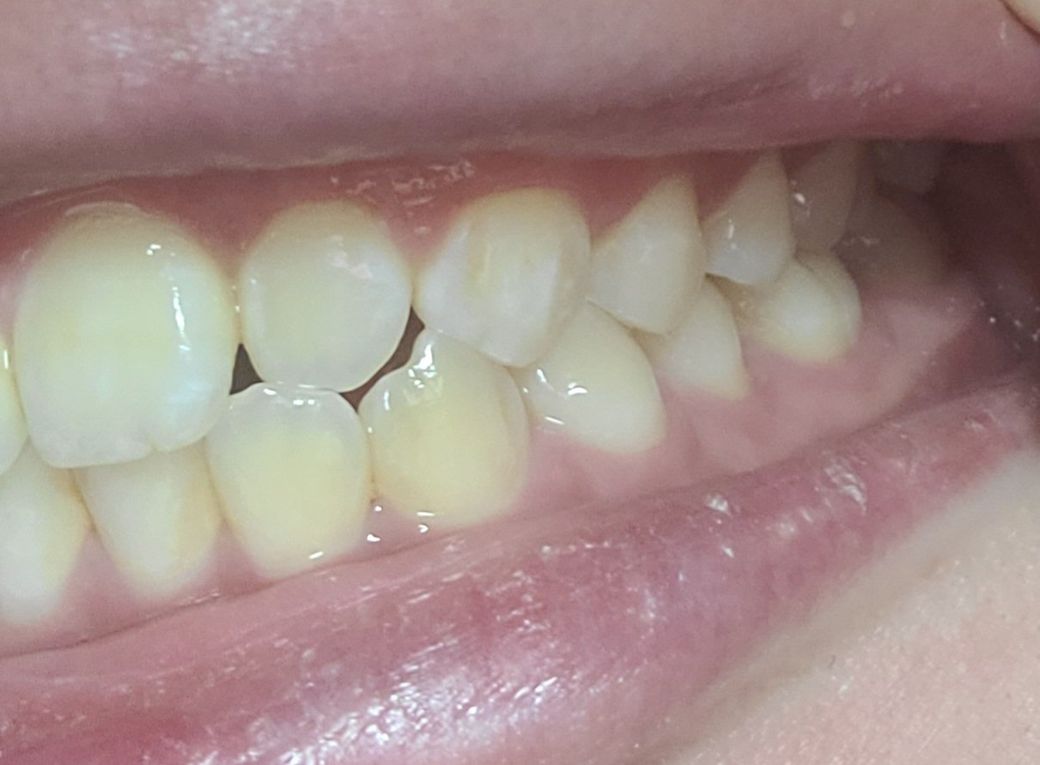
오른쪽1

오른쪽2

  • 1번 째 사진
  • 2번 째 사진
  • 3번 째 사진
  • 4번 째 사진
  • 5번 째 사진
  • 6번 째 사진
  • 7번 째 사진
  • 8번 째 사진
  • 9번 째 사진
  • 10번 째 사진

4개의 답변이 있어요!

  • 송우식 치과의사

    송우식 치과의사

    솔플란트치과 경기도 성남시 모란역

    22.06.04

    안녕하세요. 송우식 치과의사입니다.

    제일 위 첫번째 사진에서 윗니 1개(측절치)가 아랫니(측절치) 보다 안쪽으로 들어가 있어 정상 치아 교합이 아닙니다

    치아에 있는 하얀점은 치아 발육시 생긴 것으로 미용상으로는 좋지 않지만 그냥 두어도 됩니다.

  • 안녕하세요. 이정현 치과의사입니다.

    왼쪽이 제1소구치쪽부터 교합이 아주 이상적인 교합은 아닙니다. 또한, 오른쪽 2번째 치아는 원래 위 치아가 아래치아를 덮어야하는데, 그렇지 않고 치아끼리 바로 닿습니다. 이 경우 치아에 무리가 갈 수 있습니다.

    치아표면에 있는 하얀식 반점은 반상치일수도 있고, 초기 치아탈회의 경우도 있습니다.현재로서 치료가 필요하지는 않은것으로 보입니다. 감사합니다.

  • 안녕하세요. 정진석 치과의사입니다.

    사진 자료만으로는 정확한 판단이 힘들며 CO, CR 등의 재현성 등을 체크해보아야할 것으로 보입니다. 물론 말씀하신 것처럼 좌우가 맞물리는 정도가 조금 다르긴 하나 대부분 사람들은 완전히 대칭을 이루기는 쉽지 않습니다. 따라서 일상생활에 불편감이 없거나 치열로 인하여 심미적으로 문제가 되지 않는 범위라면 특별히 치료를 하지 않아도 될 것으로 보입니다.

    아무쪼록 저의 답변이 문제 해결에 작게 나마 도움이 될 수 있기를 기원드립니다. 항상 건강하고, 행복하세요^^

    정진석 치과의사 드림

  • 안녕하세요. 안상우 치과의사/경제·금융전문가입니다.

    치아는 상악치아가 하악 치아보다 앞으로 살짝 나와있기 때문에 치아를 덮으면서 빈공간이 없어보이게 됩니다.

    하지만 사진과 같이 오른쪽 2번째 윗니와 아랫니가 절단교합이 되어 있으면 치아가 다 내려오지 않아서 공간이 보일수 있어요.

    왼쪽 소구치와 대구치는 사진으로만 보기에는 정상적으로 교합하고 있는것으로 보입니다.

    정확한 확인을 위하여 치과에서 자세한 진료를 받아보시길 권장 드립니다.