아핫뉴스실시간 인기검색어
아핫뉴스 화산 이미지
화산 아이콘 11
비트코인 가격 논쟁 재점화
아하

의료상담

치과

비상하는 올빼미862
비상하는 올빼미862

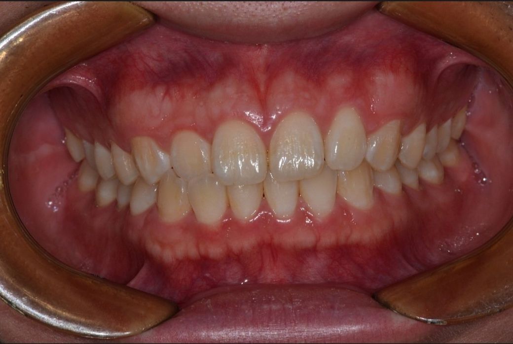
치아 어금니물리는게 오른쪽보다 왼쪽이 좀더 깊게 물리는 느낌이에요

치아 어금니물리는게 오른쪽보다 왼쪽이 좀더 깊게

물리는 느낌 약간틀어져서 그런느낌인데 교정하는게 좋을지 알고싶고요?

중심선이 안맞는 이유가 턱이 틀어져서인가요?

교합이 안좋은가요?

턱 비대칭여부 알고싶어요?

가끔 앞니쪽 윗니 측절치 잇몸이 아픈데 치아 위아래 부딪혀서 그런건가요?

앞니치아표면에 흰색으로 변색되어 있는데 이게 뭔가요? 양치문제인가요?

  • 1번 째 사진
  • 2번 째 사진
  • 3번 째 사진
  • 4번 째 사진
  • 5번 째 사진
4개의 답변이 있어요!
  • 안녕하세요. 김바른 치과의사입니다.

    치아 어금니물리는게 오른쪽보다 왼쪽이 좀더 깊게

    물리는 느낌 약간틀어져서 그런느낌인데 교정하는게 좋을지 알고싶고요?

    -> 정상적인 범주입니다.

    중심선이 안맞는 이유가 턱이 틀어져서인가요?

    -> 일반적으로 약간의 비대칭은 대부분의 사람한테 존재합니다.

    교합이 안좋은가요?

    -> 정상으로 보입니다.

    턱 비대칭여부 알고싶어요?

    -> 정상범주입니다.

    가끔 앞니쪽 윗니 측절치 잇몸이 아픈데 치아 위아래 부딪혀서 그런건가요?

    -> 특별히 문제 없어보입니다.

    앞니치아표면에 흰색으로 변색되어 있는데 이게 뭔가요? 양치문제인가요?

    -> white spot이라고해서 탈회된 것인데 양치질이 부족해서 생기거나 어릴때 법랑질이 미성숙되어 생기곤합니다. 양치질 관리 잘해주시면 되겠습니다.

  • 안녕하세요. 정진석 치과의사입니다.

    일단 현재 말씀하시는 증상은 사진 자료로는 판단하기 힘듭니다. 교합지 등으로 교합을 검사해야 하며 단순히 사진 자료로는 알기 힘듭니다. 또한 지금 안모 사진으로 보았을 때는 비대칭이 심하지 않으며 지금과 같은 비대칭은 정상범주에 속합니다.

    또한 사람들마다 정중선이 완전히 일치하는 경우는 거의 없으며 정상 범주에 있다면 교정을 통해 무리하게 개선하지 않습니다.

    아무쪼록 저의 답변이 문제 해결에 작게 나마 도움이 될 수 있기를 기원드립니다. 항상 건강하고, 행복하세요^^

    정진석 치과의사 드림

  • 안녕하세요. 김철진 치과의사/경제·금융전문가입니다.

    사진상으로는 정확히 판별할수는 없습니다. 다만 사진으로 보면 크게 교합에는 문제가 없는거 같으며 한쪽이 깊게 물려서 그럴수도 있을것같습니다. 특별한 부위가 깊게 물려서 치아가 예민해지고 불편감을 느끼시는거 같습니다. 아래 ct사진으로 보면 얼굴에 약간의 비대칭이 존재하는거 같으며 치아의 흰색은 치아가 부식된부분입니다

  • 탈퇴한 사용자
    탈퇴한 사용자

    안녕하세요. 장인아 치과위생사입니다.

    • 누구나 어느정도의 안면비대칭은 있을수 있고 치료의 대상이 아닙니다.

    • 치아의 하얀 착색은 불소성분의 침착, 치태관리 미흡으로 인한 탈회 등의 원인이 있습니다.

    도움이 되었으면 바랍니다. 건강하세요.