아하
  • 토픽

  • 스파링

  • 잉크

  • 미션


의료상담

사려깊은베짱이179

사려깊은베짱이179

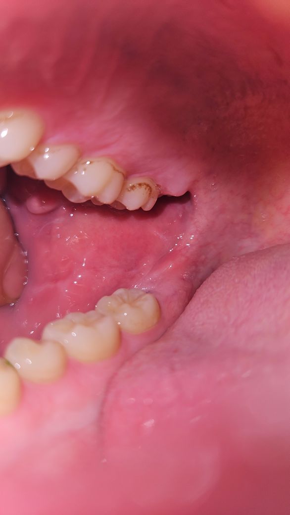
치아안쪽 검은색 점들, 충치인가요 치석인가요?

어느날 치아 안쪽 검은 점들이 눈에 들어오기 시작했는데요

하루 3-4번 양치꼬박꼬박 하고 있는데

잘 안닦이는 부위라 치석이 생긴건지

충치인건지 사진보고 판단해주시면 감사하겠습니다!

특별히 아프거나 하지는 않습니다

  • 1번 째 사진

3개의 답변이 있어요!

  • 안상우 치과의사

    안상우 치과의사

    목동안치과의원

    안녕하세요. 안상우 치과의사입니다.

    사진으로만 봤을 경우에는 단순한 착색으로 보입니다.

    하지만 정확한 확인을 위해서는 직접 진료를 받아 보는것이 좋습니다.

    자세한 확인을 위해서 치과에서 진료를 받아 보는것을 권유드립니다.

  • 안녕하세요. 한성미 치과위생사입니다.

    충치도 치석도 아니고 그냥 착색입니다. 착색자체만으로 치아나 잇몸에 영향을 주지는 않지만 착색이 붙어있으면 치아표면이 울퉁불퉁해서 치태가 잘 달라붙고 치석이 되기 쉽기도 합니다. 그렇다고 너무 걱정하실 필요는 없고 양치질 구석구석 깨끗이 하시고 주기적으로 때되면 스케일링 받아주시면 됩니다. 양치가 덜 되는 곳에 착색이 더 잘 생기기 때문에 그 부분을 평소에 좀 더 신경써서 닦아주시면 좋을 것 입니다. 그리고 아마 다른 치아들에도 같은게 생겼을 텐데 만약 눈에 보이는게 싫으시면 치과 가셔서 부분적으로 제거하실 수도 있습니다.

  • 안녕하세요. 최석민 치과의사입니다.

    충치보다는 착색, 치석에 가까운 것으로 보입니다 해당 부위는 충치가 잘 생기는 부위는 아닙니다