아핫뉴스실시간 인기검색어
아핫뉴스 화산 이미지
화산 아이콘 11
이종혁 윤석화 추모
아하

의료상담

치과

Smsmsmsmsmsm
Smsmsmsmsmsm

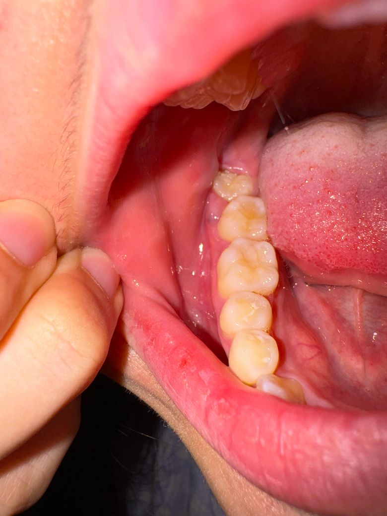
잇몸 염증인지 뭔지 잘 모르겠어요 ㅠ 잇몸에 멍이 들수 있나요???ㅠㅠ 제발 도와주세요ㅠ

잇몸이 보라색으로 부어있는데 왜그런건가요ㅠㅠㅠㅠ


붓기는 좀 있었던거같은데…치실하고나서 보라색이 되었어요..

지금은(사진찍고 30분 후) 좀 더 까매진거같아요.. 멍이든건가요..?


치아 관리는 열심히 했는데.. 사랑니때문에 이런 현상이 나타나는건가요?? 발치는 겨울에 할 수있는데 ㅠㅠㅠ 통증은 하나도 없어요 ㅠㅠ 왜그렇죠???


스케일링은 두달전에 받았습니다…….


제발 도와주세요 의사선생님들 ㅠㅠ

  • 1번 째 사진
  • 2번 째 사진
3개의 답변이 있어요!
  • 안녕하세요. 정진석 치과의사입니다.

    치실과 사랑니 모두 영향이 있었을 것으로 보입니다. 사랑니로 인하여 해당 부위에 염증이 자주 나타나며 치실 등으로 잇몸을 자극하여 지금과 같은 증상이 나타난 것으로 보여집니다. 계속해서 불편감이 크다면 사랑니 발치 시기를 조금 앞당길 필요가 있어 보입니다.

    아무쪼록 저의 답변이 문제 해결에 작게 나마 도움이 될 수 있기를 기원드립니다. 항상 건강하고, 행복하세요^^

  • 안녕하세요. 안상우 치과의사입니다.

    외부 자극으로 인해서 잇몸에 상처가 났다면 출혈이 되면서 색이 어두워지게 보일 수 있습니다 외부 자극으로 인해서 생긴 상처라면 대부분 해당 부위를 자극하지 않으면 원상태로 돌아오는 경우가 많습니다.

    일주일이 지나도 증상이 없어지지 않는다면 치과에서 진료를 받아 보는 것을 권해 드립니다.

  • 안녕하세요. 송우식 치과의사입니다.

    잇몸에 염증이 생긴 것으로 보이며, 사랑니로 인해 잇몸에 염증이 유발되었을 가능성이 높습니다. 보다 정확한 상태 확인을 위해 치과 진료를 권하며, 불편감을 유발하는 사랑니는 우선적으로 발치를 권합니다.

    궁금증 해소에 도움이 되시길 바라며, 도움이 되신 경우 '👍 ' 눌러주길 부탁드립니다.