아핫뉴스실시간 인기검색어
아핫뉴스 화산 이미지
화산 아이콘 11
이해찬 전 총리 위독 베트남 출장 중
아하

의료상담

치과

덕망있는느시4
덕망있는느시4

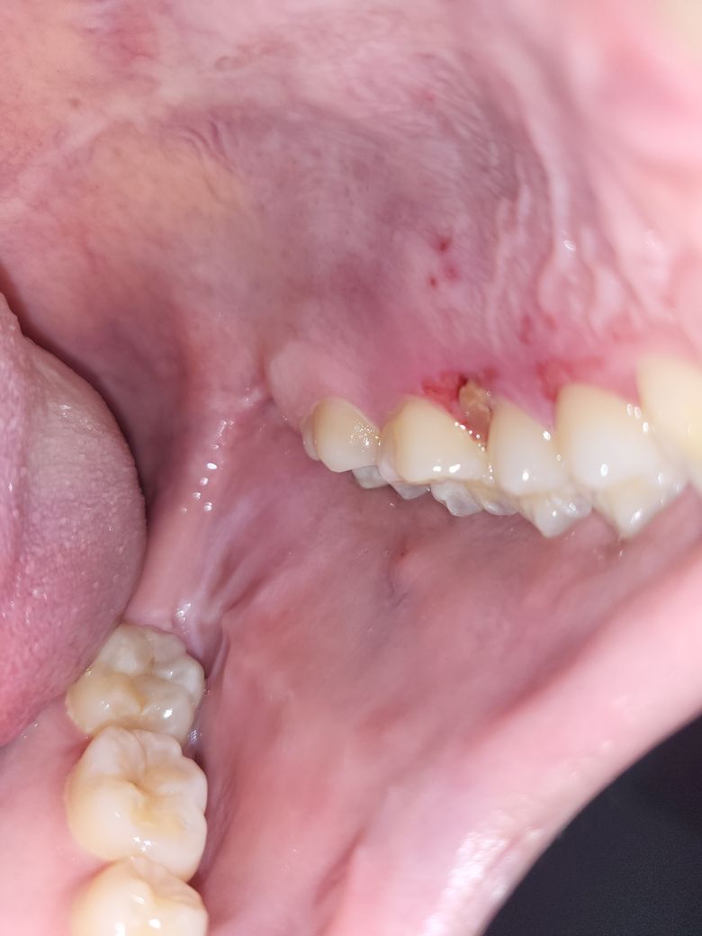
잇몸 안쪽에 딱딱한 무언가가 났어요

전에 딱딱한 뭔가가 느껴져서 치과에 가려다가 까먹고 있었는데 오늘 통증이 느껴져서 사진을 찍어봤더니 딱딱한 뭐가 있더라구요 검색해보니 염증이라는 말도 있고 외골증이라는 말도 있는데 뼈처럼 보이진 않습니다

사진에 보이시는 것처럼 잇몸에 작은 딱딱한 무언가

가 났습니다 이게 무엇인가요? 빨리 병원에 가보는게 좋을까요?

  • 1번 째 사진
3개의 답변이 있어요!
  • 안녕하세요. 송우식 치과의사입니다.

    사진으로 약간 노랗게 보이는 것이 염증으로 보입니다. 그러나 염증은 딱딱하지는 않습니다.

    딱딱하다면 무언가 잇몸에 끼어있는 것 일 수도 있습니다.

  • 안녕하세요. 정진석 치과의사입니다.

    해당 부위 뿐만 아니라 같은 쪽 앞쪽 치아도 붉게 보이는 것으로 보아 구강 내 연조직 질환일 가능성이 큽니다. 즉 단순 구내염은 아닌 것으로 보여지며 해당 부위가 2주 이상 진행되었다면 반드시 치과 방문 후 감별진단을 받아보셔야 합니다. 대부분 경미한 외상이나 구내염은 2주 전후로 회복합니다. 회복하지 않을 때는 반드시 감별진단을 받아보셔야 합니다.

    아무쪼록 저의 답변이 문제 해결에 작게 나마 도움이 될 수 있기를 기원드립니다. 항상 건강하고, 행복하세요^^

    정진석 치과의사 드림

  • 안녕하세요. 안상우 치과의사/경제·금융전문가입니다.

    사진으로만 봐서는 어떤 물질인지 판단하기가 힘듭니다.

    주변에 구내염 증상이 있는것으로 보아 구내염으로 보이지만 구내염일 경우에는 딱딱하지 않아요.

    자세한 확인을 위해서 치과병원에서 검사를 받아 보시기를 권유드립니다.