아하
  • 토픽

  • 스파링

  • 잉크

  • 미션


의료상담

그래도파워풀한시베리안허스키

그래도파워풀한시베리안허스키

25.03.24

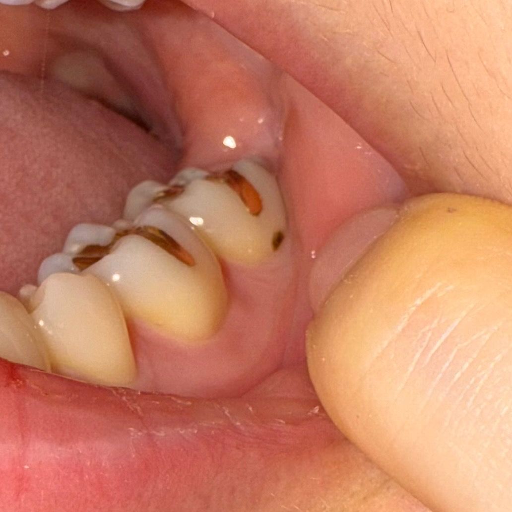
충치가 생긴 건가요?? (사진 있음)

보시다시피 가장 안쪽 치아에 까만 게 생겼어요.

긁어내도 안나오는데 충치일까요?

아직까지 아프지는 않습니다.

답변 주시면 감사하겠습니다!

  • 1번 째 사진

5개의 답변이 있어요!

  • 최석민 치과의사

    최석민 치과의사

    강원도 원주의료원

    25.03.24

    안녕하세요. 최석민 치과의사입니다.

    사진상 충치로 보이긴 하는데 빠르게 진행되는 충치의 양상은 아닙니다. 임의로 집에서 긁어보거나 하진 마시고 치과를 가보시기 바랍니다. 엑스레이도 찍어보고 해야 합니다.

  • 안녕하세요. 안상우 치과의사입니다.

    충치는 긁게 되면 긁히는 경우가 많습니다. 충치는 치질이 약해 져 있기 때문입니다. 긁히지 않는다면 단순한 착색일수도 있습니다.

    단순착색의 경우 치과에서 간단하게 제거할수도 있습니다.

    자세한 확인을 위해서 치과에서 진료를 받아보는 것을 권유드립니다.

  • 안녕하세요. 김철진 치과의사입니다.

    치아와 잇몸 경계에 충치가 생긴거 같으니 치과에 가셔서 확인후 치료를 받으시는게 좋을것같습니다.

  • 안녕하세요. 김지훈 치과의사입니다.

    가장 안쪽 치아에 까만 게 생긴 것은 충치가 맞는 것 같으며 치과에서 검사 받아보시는 게 좋겟습니다.

  • 안녕하세요. 송우식 치과의사입니다.

    긁어도 안 없어진다면 충치일 가능성 높아 보입니다. 이런 충치를 치경부 충치라고 합니다.