아하
  • 토픽

  • 스파링

  • 잉크

  • 미션


의료상담

남다른긴꼬리193

남다른긴꼬리193

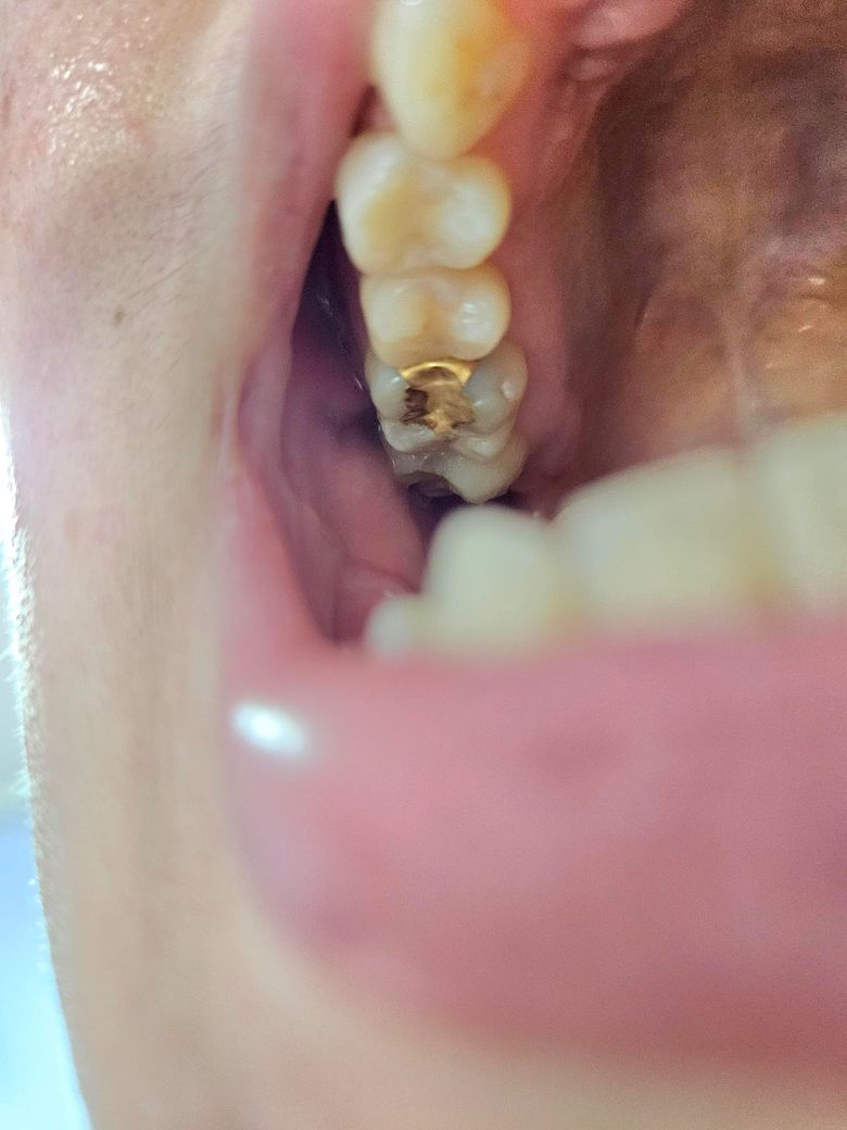
금 인레이 벗겨짐? 봐주세요ㅠㅠㅠㅠ

1주일전 사랑니를 빼고 와서 오늘 문득 치아를 들여다보니 2년전 금 인레이를 한 부분이 꼭 벗겨진것처럼 보여요ㅠㅠ왜이런걸까요?

  • 1번 째 사진

4개의 답변이 있어요!

  • 김철진 치과의사

    김철진 치과의사

    가까운우리치과

    안녕하세요. 김철진 치과의사입니다.

    금은 사용하다보면 마모가 되기 떄문에 그럴수도 잇습니다. 아프거나 그렇지 않으면 큰 문제가 잇는건 아니니 너무 걱정하지마세요.

  • 안녕하세요. 안상우 치과의사입니다.

    사진으로만 봤을 경우에는 인레이 적합 상태를 정확하게 확인하기 힘들어 보입니다.

    인레이 보철물에 경계면이 떠 있거나 한다면 보철물을 새로 제작해야 할 수 있습니다.

    자세한 확인을 위해서 치과에서 진료를 받아 보는 것을 권유 드립니다.

  • 안녕하세요. 김지훈 치과의사입니다.

    사진상으로는 잘 드러나지는 않습니다만 금도 씹으면서 마모가되고 벗겨지기도 합니다.

    이상이 보이면 치과 가보시는 게 좋겠습니다.

  • 안녕하세요. 송우식 치과의사입니다.

    사진상으로 인레이가 벗겨진 것인지 명확히 확인이 되지는 않습니다. 보다 정확히 상태를 확인하기 위해 치과 진료를 받아보길 권합니다.

    궁금증 해소에 도움이 되시길 바라며, 도움이 되신 경우 '👍 ' 눌러주길 부탁드립니다.