의료상담
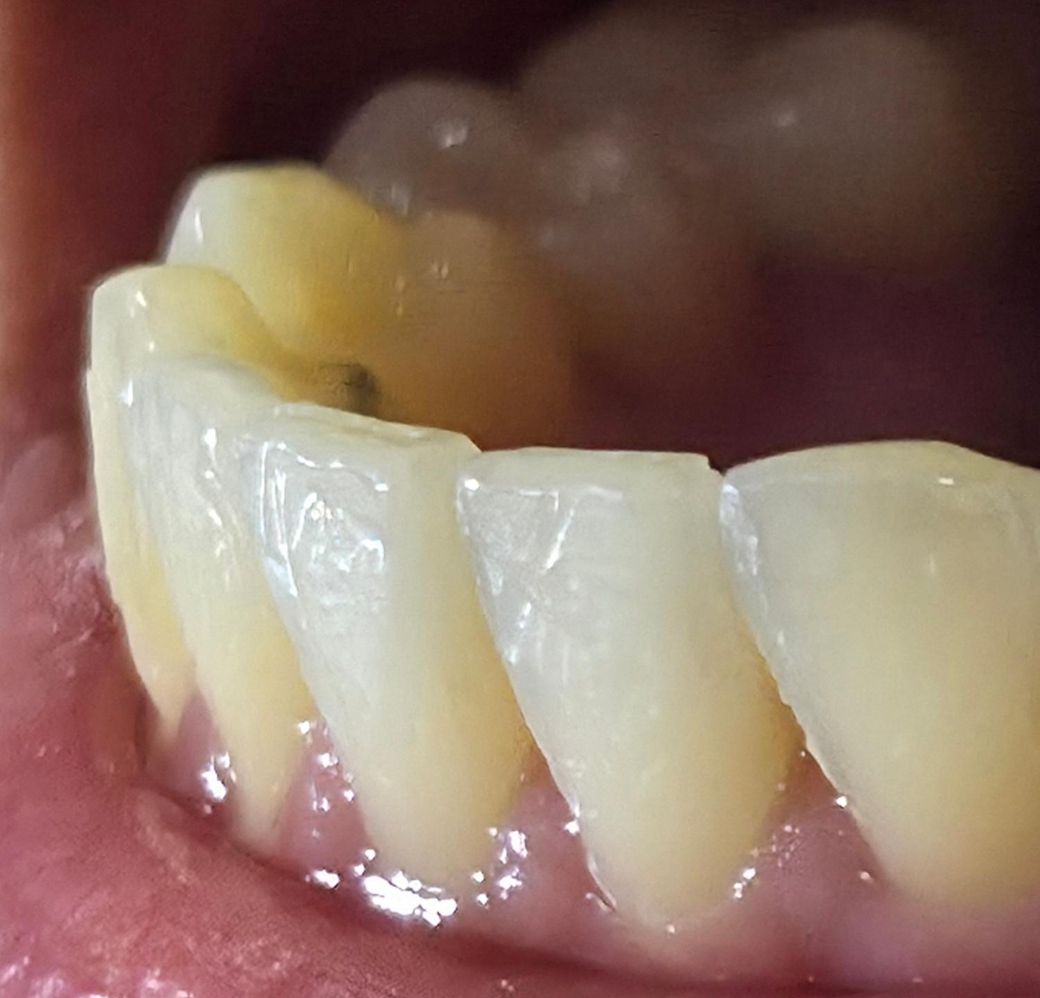
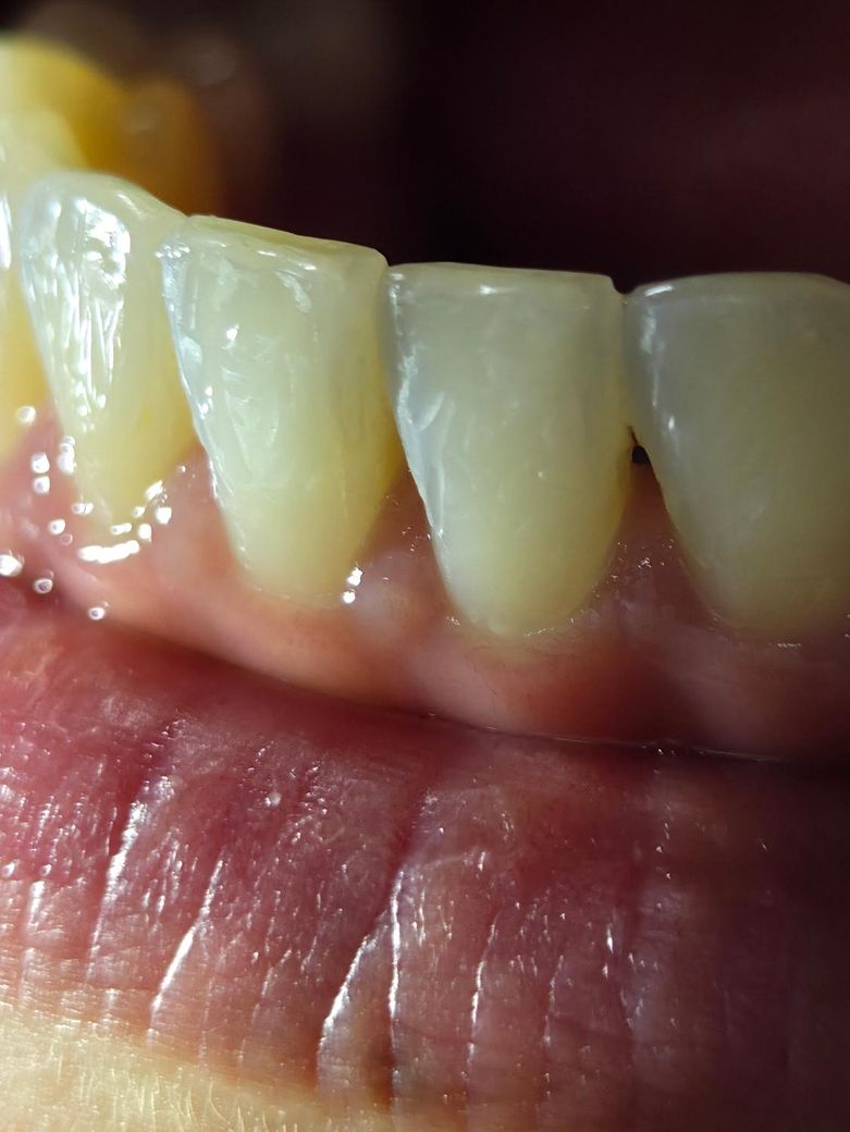
교정기를 제거했는데 이에 줄이 죽죽 그여있어요..
치아가 깎이는거는 아니라고 하셨는데..
브라켓 붙었는 부분 외에 다른 부분에도 줄이 가로로 세로로 대각선으로 많이 그려있어요
거의 모든 면이 이렇습니다...덜 제거된 레진도 있고요
교정한 치과에 가는게 좋을까요 다른 치과에 가는게 좋을까요?
다른치과에서도 저런 진료 봐주시나요?
정말로 치아에 손상이 없는건가요..?
55글자 더 채워주세요.
5개의 답변이 있어요!
안녕하세요. 안상우 치과의사입니다.
교정기를 제거하고 치아에 줄이 간것처럼 보인다면 레진이 덜 제거되었을 가능성이 높습니다 이런경우 치아 표면의 레진을 제거하면 해당 줄무늬를 없앨수 있습니다.
안녕하세요. 최석민 치과의사입니다.
교정한 치과에 가는게 좋을까요 다른 치과에 가는게 좋을까요? -> 원래 교정했던 치과를 가야 조치를 받을 수 있죠
레진이 사진으로봐도 조금 덜 제거된 것 같습니다.
안녕하세요. 김지훈 치과의사입니다.
덜 제거된 레진도 있고 하다면 , 교정한 치과에 가셔서 다시 다듬는 게 좋을 것으로 보입니다.
안녕하세요. 김철진 치과의사입니다.
교정을 붙혓던 레진이 아직 제대로 제거가 안된거 같으니 치과에 가셔서 부드럽게 해달라고 하시면될것같습니다.
안녕하세요. 송준범 치과의사입니다.
다른 치과에서도 봐줄 수도 있긴 하겠지만 실제로 치아가 갈려나간 것이라면 추후에 치아 손상에 대한 책임의 소재가 불분명해지니 우선 치료 받으셨던 치과에 가셔서 남은 레진을 모두 제거하고 질문자님께서 말씀하시는 줄이 죽죽 그여있는 상태에 대해 문의드리는게 좋습니다.

