아하
  • 토픽

  • 스파링

  • 잉크

  • 미션


의료상담

빨간꽃게292

빨간꽃게292

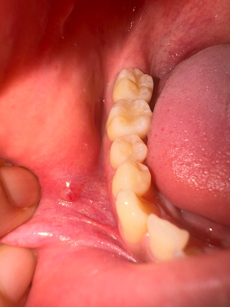
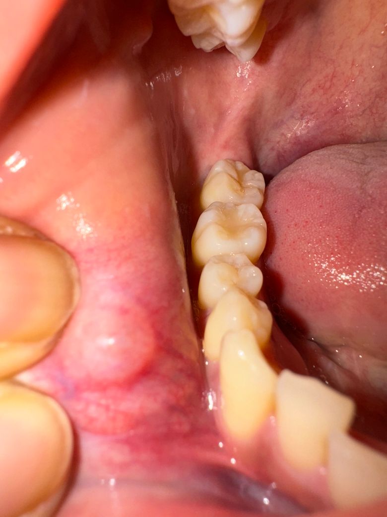
입 안에 점액낭종인지 뭔지 궁금합니다.

안녕하세요 몇주 전에도 글을 올렸었는데

맨처음엔 이런 상태였고 2주뒤엔

이렇게 변했다가 지금 생긴지 한달 반정도 되어가는데

겉은 아물었으나 전체적인 사이즈는 커진 느낌입니다.

한달 반 전에 치과 두군데 다녀왔는데 a병원에서는 좀 더 지켜보자고 더 커지면 대학병원에 가서 제거하고 조직검사 해보는게 좋겠다고하셨고 b병원에서는 제거해주겠다하시고 재발하면 그 때 다시 제거해서 조직검사해보자고 하셨었습니다. 그리고 오늘 다시 세군데 병원에 갔는데 a병원은 더 커졌다. 구강암은 아닐것같은데 불안하면 대학병원 가서 제거하고 조직검사해봐라. 가능성이 아예 없는것이 아니다. 라고하셨고 b병원은 저번보다 커지긴했으나 병변이 깊고 얕아서 제거할 정도는 아닌것같다. 뭔지는 조직검사해봐야알겠지만 구강암일 가능성은 적으니 두달뒤에 보자 하셨고 c병원은 이비인후과인데 점액낭종일거라고 별말씀 안하셨습니다.

선생님들이 보시기에 제거하고 조직검사를 해봐야하는 정도의 병변일까요? 그렇다면 대학병원을 예약햐야할 것 같아서요.. 고견부탁드립니다.

  • 1번 째 사진
  • 2번 째 사진
  • 3번 째 사진
  • 4번 째 사진
  • 5번 째 사진
  • 6번 째 사진

3개의 답변이 있어요!

  • 김철진 치과의사

    김철진 치과의사

    가까운우리치과

    안녕하세요. 김철진 치과의사입니다.

    조직검사정도는 아니고 치과에 가셔서 마취하고 레이저로 제거를 하시면될것같습니다. 치과에 가셔서 검진을 받아보세요.

  • 안녕하세요. 안상우 치과의사입니다.

    사진과 같이 미상에 조직 이 보이게 된다면 간단하게 제거를 할 수 있는 경우도 있습니다. 우선적으로 정상적으로 보여지지 않는 조직이기 때문에 제거를 먼저 해보시고 같은 증상이 반복된다면 조직검사를 해보는게 좋습니다.

    제거를 한 후에 재발되지 않는다면 크게 걱정하지 않으셔도 될 것으로 생각됩니다. 자세한 확인을 위해서 치과에서 진료를 받아보는 것을 권유드립니다.

  • 안녕하세요. 송우식 치과의사입니다.

    현재 병변이 커진 경우에는 조직검사를 해보는 것이 안전합니다. 우선 제거하고, 제거한 조직을 조직검사를 의뢰하여 확인해보길 권합니다.

    만족스러운 답변되셨으면 합니다.

    ★평가★ 감사합니다.