아하
  • 토픽

  • 스파링

  • 잉크

  • 미션


의료상담

비상하는 올빼미862

비상하는 올빼미862

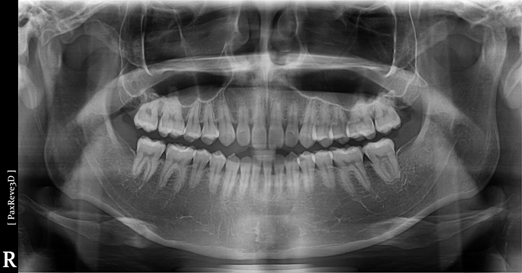
인비절라인과 클리피씨로 치아교정 및 전체후방이동에서 결과차이가 크나요?

비발치 교정 중 인비절라인과 자기결찰장치 중에 고민중 입니다(앞니 살짝벌어짐,오른쪽 송곳니쪽 반대교합, 약간의 돌출입)

인비절라인과 클리피씨로 치아전체 교정 및 사랑니공간으로 치아전체후방 이동 시 결과 및 교정과정 면(고통, 교정기간, 만족도)에서 어느것이 나을까요?

(치과의사쌤이 치열이 전체적으로 좋고 앞니치근이 짧아 발치는 비추천하셨고 후방이동도 비발치라 큰차이는 없겠지만 최대한 해보겠다고 하셨고 인비절라인또는 결찰장치 비발치 전체교정또는 부분교정 이렇게 3가지 추천해주셨습니다)

________

  • 1번 째 사진
  • 2번 째 사진

2개의 답변이 있어요!

  • 정진석 치과의사

    정진석 치과의사

    대학병원 통합치의학전문의

    안녕하세요. 정진석 치과의사입니다.

    솔직히 말씀드리면 교정을 권해드리지 않습니다. 지금 상태에서 교정을 하더라도 말씀하신 것들을 개선시키기 어렵고 지금도 치열 및 교합이 훌륭한 편입니다. 치열을 전반적으로 뒤로 미는 것은 교정에서 매우 어려운 것입니다. 지금 교합 자체가 나쁘지 않으며 어떤 교정을 하더라도 교정 전후의 큰 차이가 없을 것으로 보입니다. 따라서 권해드리지 않습니다.

    아무쪼록 저의 답변이 문제 해결에 작게 나마 도움이 될 수 있기를 기원드립니다. 항상 건강하고, 행복하세요^^

    정진석 치과의사 드림

  • 안녕하세요. 김철진 치과의사/경제·금융전문가입니다.

    크게 치열에 문제가 없으시다면 인비절라인 클리피씨등 어떤걸 하셔도 효과는 비슷할것같습니다. 물론 비용적인 부준에서 차이가 나겟지만 결과는 크게 차이가 없을것같습니다