아하
  • 토픽

  • 스파링

  • 잉크

  • 미션


의료상담

지나치게촉촉한식빵

지나치게촉촉한식빵

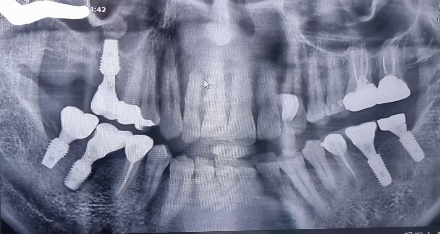
보철물 통증 지속 관련 질문 (엑스레이 첨부)

이번에 재치료를 전체적으로 했는데 전부 다

예후가 안 좋아 타치과에서 견적을 내보고

이 곳에서도 여쭤보려고 하는데요

여쭤 볼 내용이 많아 미리 양해를 구합니다

우측 하악에 임플란트 염증으로 녹은 상태에서

재식립 해서 잇몸이 안 차오른건은 인지 하고

치과의사도 과실 인정 한 상태

우측 상악에 임플란트와 인레이 부분 지속적인

통증 엑스레이 상으로 봐서는 이상이 없어

보인다고 하는데 통증이 지속되는 이유

상악동 수술 여부와 뼈이식 여부

의사는 상악동은 하였으나 뼈이식은 하지

않았다고 했습니다 임플란트 위에 상악동에 있는

석회? 돌 같은 것 임플란트 시술 전부터 있었는데

이게 통증의 원인 일수도 있는지 그렇다면

시술 전에는 브릿지 상태 가운데로 비어있었는데

통증이 있어야 하는게 아닌지 궁금하구요

좌측 상악 어금니 크라운 두곳 사이에 냄새와

통증이 있어서 재신경 치료 소견이 있는데

엑스레이 상으로는 염증이나 이런게 안 잡히는지요

좌측 하악 임플란트와 앞에 크라운이 염증으로

통증이 있어서 잇몸치료를 요구 하였으나

크라운 교체를 하자고 해서

교체를 했는데 얼마 지나지 않아 피나고 염증 발생

재 크라운 대신 잇몸치료로 해결이 가능 할지요

질문이 너무 많아 죄송합니다

요약 정보가 없어요.

  • 1번 째 사진

2개의 답변이 있어요!

  • 김철진 치과의사

    김철진 치과의사

    가까운우리치과

    안녕하세요. 김철진 치과의사입니다.

    상악동 석회화로 인해서 통증이 생기거나 시리진 않을꺼에요. 잇몸이나 다른 치아 문제일 가능성이 높습니다. 사진상으로 좌측 하악 임플란트 주변으로 잇몸뼈가 소실된 양상이 보입니다 . 잇몸치료를 받으시면서 관리를 하시는게 좋을것같습니다.

  • 안녕하세요. 천우선 치과 전문의입니다.파노라마 사진 해상도가 떨어져서 일단 보이는 대로만 설명드립니다

    1. 우측 상악 1대구치 임플란트 상부 석회 돌 같은거는 보통 통증을 일으키지 않습니다 해당 부위는 중간부위 뼈손실이 의심되나 통증의 양상이 잇몸이 아프고 부으면 해당 임플란트 문제이나 이가 시리다는 느낌이 든다면 임플란트 앞에 치아들이 원인이어서 상악우측2소구치 또는 상악우측1소구치 신경치료가 필요 할 수 있습니다 아마 임플란트 말고 앞에 치아들이 문제여서 계속 통증이 생기는 듯 한 의심이 듭니다

    2.우측 하악 1대구치 임플란트는 여기도 중간부위 뼈손실이 의심되나 경과 관찰 후 불편시 재식립하시거나 지켜보거나 해야 할거 같습니다

    3.좌측 상악 어금니 크라운 두곳 사이에 냄새는 두 크라운 사이에 음식물이 껴서 잇몸이 부으면 구취와 통증이 생길수 있습니다 엑스레이상 신경치료는 문제 없어 보입니다

    4.좌측 하악 임플란트와 앞에 크라운이 염증으로 통증이 있다고 하셨는데 임플란트는 문제 없고 그 앞에 신경치료 한 치아 뿌리 쪽 염증이 의심되어 크라운 치료가 아닌 재신경치료가 필요할수 있습니다

    통증으로 불편시 대학병원(보존과) 가보시는 거 권유드립니다