의료상담

사랑니 발치 후 치조골 회복???






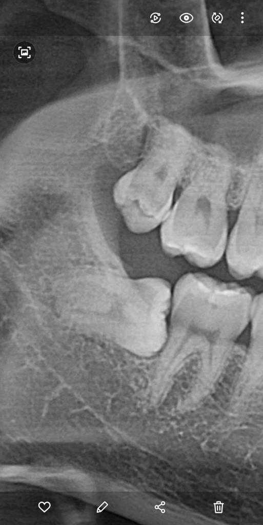
여기 사랑니를 발치하게 되면


어금니가 흔들리게 되고


결국 뽑게 될까 걱정입니다


사랑니를 발치 후


그 옆에 뼈가 차오르고


어금니가 흔들리지 않고 잘 치유가 될 수 있나요???


아니라면 너무 슬플거 같습니다...


ㅠㅠ



  • 1번 째 사진

4개의 답변이 있어요!

  • 안녕하세요. 김철진 치과의사입니다.

    그렇게 될 가능성은 낮아 보입니다. 염증이 많으신것도 아니니 사랑니 발치하고 나면 어느정도 치조골이 회복될껏같습니다. 발치하고 나셔서 그쪽에 염증이 생기지 않도록만 하시면 문제 없을것같네요.

  • 안녕하세요. 정진석 치과의사입니다.

    해당 사랑니를 제거하더라도 앞쪽 치아는 흔들리지 않으며 뼈도 자연스럽게 차오릅니다. 현재 사진은 2차원적인 것이며 사랑니를 발치하더라도 앞쪽에 치아는 3면이 모두 뺘로 덮여 있고 뒤쪽만 남아 있기 때문에 해당 부위는 주변 조직의 신호 등에 의해서 자연스럽게 뼈가 차오르고 회복됩니다. 따라서 크게 걱정하지 않아도 됩니다.

    아무쪼록 저의 답변이 문제 해결에 작게 나마 도움이 될 수 있기를 기원드립니다. 항상 건강하고, 행복하세요^^

    정진석 치과의사 드림

  • 안녕하세요. 김지훈 치과의사입니다.

    사랑니를 빼게되면 시간이 지나면서 뺀 공간에 뼈가 정상적으로 차기 때문에 걱정하지 않으셔도 됩니다.

  • 안녕하세요. 장인아 치과위생사입니다.

    잘 치유될수 있습니다. 아래턱 뼈의 회복기간은 6개월정도 걸릴수 있습니다.

    도움이 되기를 바랍니다. 건강하세요.