아하
  • 토픽

  • 스파링

  • 잉크

  • 미션


의료상담

항상훌륭한감자칩

항상훌륭한감자칩

저 교정을 하려고 하는데요 윗니만 해도 될까요?

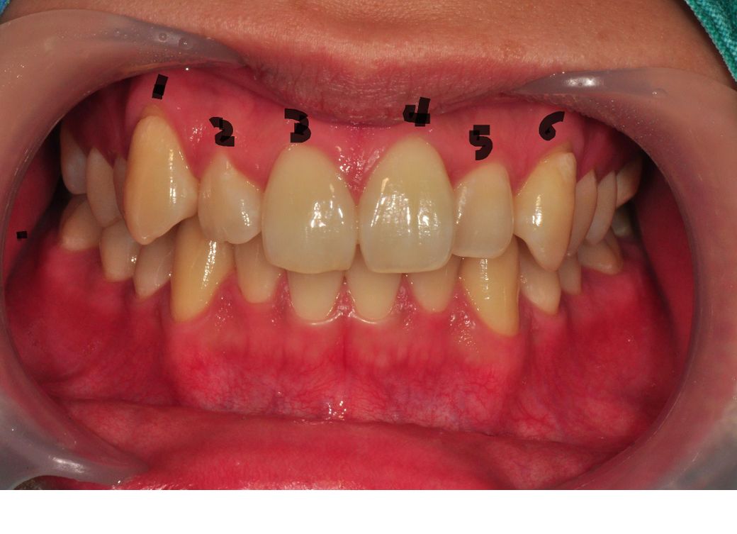
저기 사진처럼 왼쪽 송곳니부터 오른쪽 송곳니까지 총 6개만 교정이 될까요??

아니면 위에 전부 교정을 해야 하나요? 앞니가 삐뚤어지고 송곳니가 큽니다

송곳니는 부모님 유전인거 같습니다 혹시 몰라서 치과에서 찍은 입천장 사진도 올렸는데

사랑니는 곧 발치 예정인데 다른 어금니 같은 곳 발치를 해야 하나요?

  • 1번 째 사진
  • 2번 째 사진

4개의 답변이 있어요!

  • 송우식 치과의사

    송우식 치과의사

    솔플란트치과 경기도 성남시 모란역

    안녕하세요. 송우식 치과의사입니다.

    6개만 할 수 없으며 윗니 전체를 하거나 윗니가 움직이면 아랫니와 맞물리지 않을 수 있으니 아래 윗니 전부 해야 할 수도 있습니다. 어금니 충치는 치료해야 합니다.

  • 안녕하세요. 김철진 치과의사입니다.

    사랑니는 발치를 하시는게 좋을것같고, 교정은 전체적인 교합상태를 확인하고 나서 부분교정을 할지 전체 교정을 할지 판단을 하셔야될것같습니다.

  • 안녕하세요. 안상우 치과의사입니다.

    교정을 할 때 발치의 여부는 사진만으로는 알 수 없습니다. 교합 등을 분석해서 교정 진단을 받아봐야 할지 여부를 알 수 있습니다.

    교정은 위에만 하게 될 경우 아래 치아와의 교합이 맞지 않기 때문에 일반적으로 위아래를 같이 해야 합니다. 자세한 확인을 위해서 교정치과에서 진단을 받아보세요.

  • 안녕하세요. 김지훈 치과의사입니다.

    사진만으로는 알 수 없는 부분이며 여러가지 검사를 통해서 자료를 수집한 후에 알 수 있습니다.