아핫뉴스실시간 인기검색어
아핫뉴스 화산 이미지
화산 아이콘 11
비트코인 보유자 매도와 종말 불안
아하

의료상담

치과

위용있는오리238
위용있는오리238

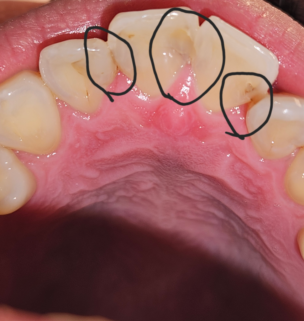
레진 충치 치료를 이렇게 치아 끼리 연결해 때우는게 맞나요?

치실도 안들어가게 두개를 연결해서 때워져있고

한쪽은 보면 레진이 다 채워져 있는거 같지도 않아요

이거 정상인가요?


따로 치아끼리 연결한다고 안내 받은적도 없고

치료 끝난 후 두텁게해서 뭐가 끼인 느낌 든다는 안내만 받았어요


지금 느낌은 치아 3개를 실로 묶어놓은 기분입니다.








  • 1번 째 사진
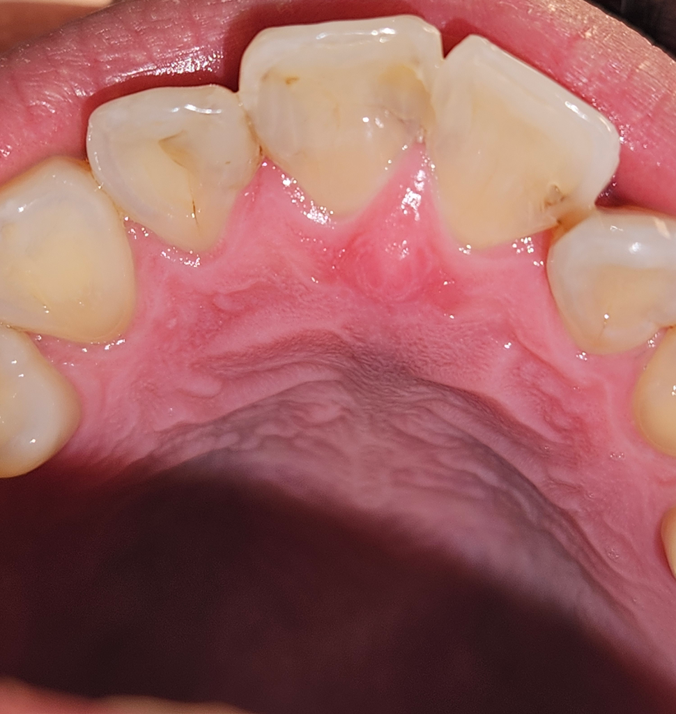
  • 2번 째 사진
  • 3번 째 사진
  • 4번 째 사진
3개의 답변이 있어요!
  • 안녕하세요. 김철진 치과의사입니다.

    치실ㅇ리 들어 가지 않는게 원래 치아가 타이트해서 그런건지 아니면 레진떄문에 그런건지 파악을 해보시는게 좋을것같습니다. 일반적으로는 치실은 들어가야됩니다.

  • 안녕하세요. 김지훈 치과의사입니다.

    치아 사이를 붙여서 치료하지 않는 것이 보통입니다. 붙어있는 것이 맞다면 치과 가보시는 게 좋겠습니다.

  • 안녕하세요. 최석민 치과의사입니다.

    위생관리를 위해서는 치실이 자연치아 들어가는 만큼 타이트하게 들어는 가는 것이 좋습니다. 아예 안들어가면 그 삼각형 틈새로 음식물이 잘 끼게 됩니다. 조금 더 다듬어 달라고 요청을 해보시는 것도 좋을 것 같습니다.