아핫뉴스실시간 인기검색어
아핫뉴스 화산 이미지
아하

의료상담

이비인후과

은근히환영받는설탕
은근히환영받는설탕

혀 밑에 수포?돌기? 같은게 작게 났는데 뭔지 모르겠어요

성별
남성
나이대
30대

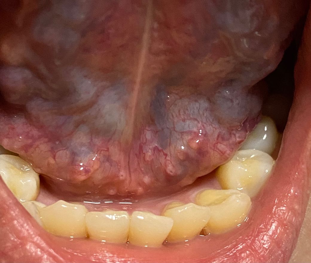
혀 옆에 구내염이 생겨서 혀 구석구석 봤는데

혀 아래에 작게 따닥따닥 뭐가 난 걸 발견했습니다

건드렸을 때 가렵지도 아프지도 않은데 뭔지 알 수 있을까요??? 병원에 가서 진료받아야 할까요???

그리고 혀 아래에 빨갛게 동그라미친 부분은 누르면 아픈데 크기가 저렇게 작아도 구내염이라고 볼 수 있나요??

  • 1번 째 사진
  • 2번 째 사진
  • 3번 째 사진
1개의 답변이 있어요!
  • 안녕하세요. 김창래 내과 전문의입니다.

    올려주신 상기 병변은 질환에 의한 병변이 아니며 혀점막의 정상적이 구조물과 판단이 됩니다. 혀나 구강 점막은 다양한 형태로 나타날 수 있는데 표면의 결절성 변화나 궤양이 형태로 나타난다면 염증 병변과 종양성 병변에 대한 감별이 필요합니다. 하지만 올려주신 사진상 이러한 특징적인 소견은 관찰되지 않으므로 정상적인 점막의 변화로 판다할 수 있습니다. 따라서 증상이 없다면 진료 없이 경과 관찰이 가능하므로 너무 걱정하지 않으셔도 되겠습니다.