아핫뉴스실시간 인기검색어
아핫뉴스 화산 이미지
화산 아이콘 11
故윤석화 문화 훈장 추서
아하

의료상담

이비인후과

빠른키위94
빠른키위94

혀 밑 쪽에 돌기가 생겼는데 괜찮은 걸까요?

성별
여성
나이대
21


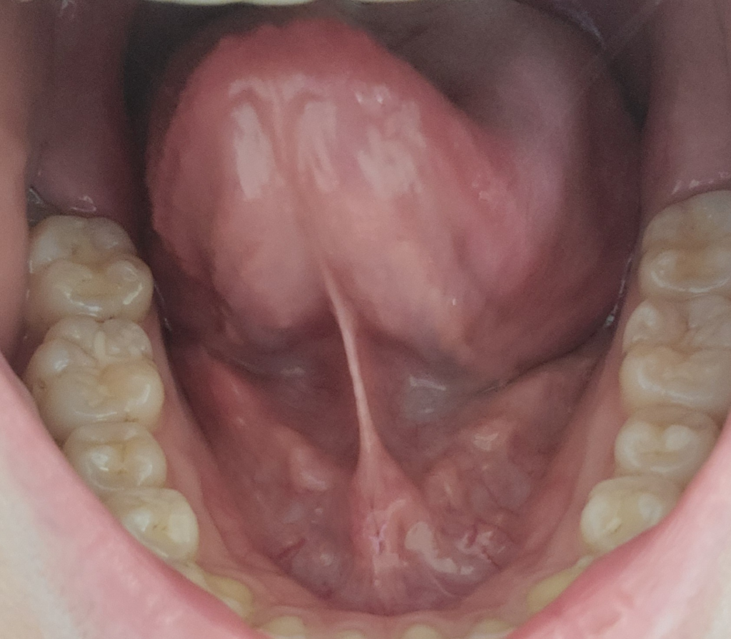
옆쪽에 저렇게 돌기들이 생겼고 혀 옆에 구내염 이 생겼어요 입안에 염증들이 생긴거 같은데 이거 괜찮은거 맞을까요?ㅠㅠ

구내염 말고는 통증이 없어요


  • 1번 째 사진
3개의 답변이 있어요!
  • 안녕하세요. 아하(Aha) 의료분야 답변자 외과 전문의 배병제입니다.


    입 안에 구내염 등의 원인으로 염증이 발생하면 림프절들이 커질 수 있는데, 입 아래에 보이는 덩이들이 그러한 반응을 보인 림프절일 수 있겠습니다. 구내염이 호전되면서 함꼐 호전되면 걱정하실 부분은 없겠고, 만약 덩이로 보이는 부분이 자꾸 커지는 것 같다면 이비인후과를 방문하셔야 합니다.


    저의 답변이 도움이 되셨길 바랍니다.

  • 안녕하세요. 강성주 의사입니다.

    혀밑의 돌기 들은 정상적으로도 발생할 수 있습니다.

    하지만 통증 및 염증발생시는 치과 및 이비인후과에 내원하시어 확인을 받아보시는 것이 좋겠습니다.

    감사합니다.

  • 사진의 소견을 통해서 보았을 때에는 돌기에 대해서는 애매하며 구내염의 경우에는 충분한 휴식 및 컨디션 조절을 통해서 회복이 가능할 것으로 사료됩니다. 우려스러우시다면 이비인후과에서 보다 정밀하게 검진을 받아보아 이상이 있는지 감별해보시는 것이 필요해 보입니다.