아하
  • 토픽

  • 스파링

  • 잉크

  • 미션


의료상담

놀라운호아친245

놀라운호아친245

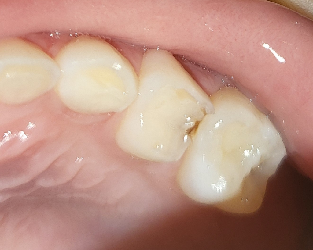
8세 여아 치아입니다. 이게 썩은걸까요??


어금니가 이렇게 되어있네요

깨진거같기도하구요

저 까만부분은 충치일까요?

근데 아프다는 소리가 없어서,,, 몰랐네요,,,

  • 1번 째 사진

5개의 답변이 있어요!

  • 이정현 치과의사

    이정현 치과의사

    안녕하세요. 이정현 치과의사입니다.

    충치로 인해서 깨진것으로 보입니다.

    사진상으로 좌우반전이 안되었다면 64번 치아이고, 유치입니다.

    단순 충치치료후 때우는쪽으로 가능할수도 있고, 신경치료가 필요할수도 있습니다. 치과에서 검사를 받아보시기 바랍니다 감사합니다.

  • 안녕하세요. 안상우 치과의사입니다.

    사진으로 봤을 경우에 치아의 하방에 충치가 생겨서 파절이 된것으로 보입니다.

    파절된 부위에 음식물이 절류되어 잇몸에 도 염증이 생겨서 출혈이 되는것으로 보입니다. 충치치료가 필요해 보여요.

    정확한 확인을 위하여 치과에서 자세한 진료를 받아보시길 권장 드립니다.

  • 안녕하세요. 김철진 치과의사입니다.

    치아가 썩어서 깨진거 같습니다. 빨리 치과에 가셔서 검진후 치료를 받으셔야될것같습니다.

  • 탈퇴한 사용자

    탈퇴한 사용자

    안녕하세요. 장인아 치과위생사입니다.

    충치일 가능성이 있고 신경까지 손상되지 않은경우 통증이 없을수 있습니다.

    도움이 되기를 바랍니다. 건강하세요.


  • 안녕하세요. 김지훈 치과의사입니다.

    치아 사이에 충치가 있는 것으로 보입니다. 치과에 가보셔서 정확한 검사를 받아보셔야 할 것 같습니다.