아하
  • 토픽

  • 스파링

  • 잉크

  • 미션


살짝쿵잠이많은오동나무

살짝쿵잠이많은오동나무

(이은수 수의사님) 하나만 더 여쭤보고싶습니다ㅠ 강아지 엑스레이 관련

반려동물 종류

강아지

품종

비숑

성별

수컷

나이 (개월)

8

몸무게 (kg)

7

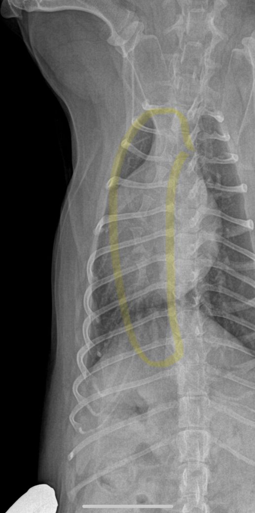
안녕하세요 강아지 건강검진 받고 엑스레이상 흉골이 휘었다고 했었는데요, 외부충격은 없고, 1년 전 다른 병원에서 찍은 엑스레이는 흉골 휘지 않았습니다. 사진상으로 휘어보이는거라고 하셨는데 잘못찍혔다는 말씀이실까요?


건강검진 병원에서는 1년전 다른 병원에서 찍은 엑스레이는 흉골이 휘지 않아서 폐쪽 문제일수도 있으니 ct가능한 병원가서 정확하게 보는게 좋을거같다는데, 폐에 문제가 생기면 심장이 쏠리면서 흉골이 휠수도있나요..?


엑스레이는 흉골이 휜거같아 이상해서 세번정도 찍었다고 하네요. 사진 보면 노란색 표시 흉골이 휘어있고 심장도 쏠려있습니다…잘못찍었다고 흉골이 휘고 심장도 쏠릴 수 있나요?!?


첫번째 사진이 1년전 다른병원에서 찍은 엑스레이고 2,3번째가 이번에 찍은 흉골 휜 엑스레이입니다.. 3,4번째 흉골 휜 엑스레이 같은 사진인데 휜 흉골부분 노란색으로 표시해뒀습니다. R, L사진 둘 다 다른방향에서 찍은거같은데, 둘 다 휘어있습니다. 폐쪽의 문제일수도 있을까요? 기침이나 식욕감퇴 등의 다른 증상은 없고 변 상태도 좋습니다.



1개의 답변이 있어요!

  • 이은수 수의사

    이은수 수의사

    프리랜서

    안녕하세요. 이은수 수의사입니다.

    이전에 이미 몇차례 말씀 드린것처럼 촬영상의 rotation에 의해 일어난 artefact 즉, 허상에 해당하며 정상적인 현상입니다. 몇차례 반복해서 말씀 드린 내용이 믿음이 안가신다면 다른동물병원에 가셔서 가슴쪽 엑스레이를 다시 찍어 보시거나 주치의의 이야기 대로 CT 촬영을 해보시면 됩니다.