아하
  • 토픽

  • 스파링

  • 잉크

  • 미션


훙냥냥

훙냥냥

엑스레이를 찍었는데 폐에 물이 찬건가요???

반려동물 종류

강아지

성별

암컷

나이 (개월)

6년6개월

몸무게 (kg)

6.8

중성화 수술

1회

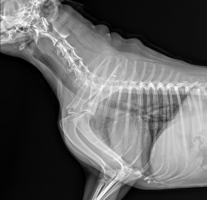
저번주 주말에 찍은 엑스레이입니다.

건강검진 받을 땐 심장이 좀 부어있다고

영양재 주면서 관리만 잘하라고 했어요

올해 검사했을땐 재작년 보다 정말 희미하게

사이즈가 줄었구요ㅠㅠ.. 근데 애기 호흡수가

빨라져서 엑스레이 비교하면서 이것 저것 찾아봤는데

혹시 폐에 물이찬게 아닌가 걱정이 됩니다

방치하면 사망까지 간다던데..

밥.물은 잘 먹고 낮에는 소파에서 누워 하루종일 자고

저녁에 장난감 가지고 놉니다 산책도 잘하고

날씨가 이래서 헥헥 거려요 1분당 40-50회입니다

폐에 혹시 물이찬거라면 바로 병원 가보려구요





2개의 답변이 있어요!

  • 박주찬 수의사

    박주찬 수의사

    프리랜서

    안녕하세요. 박주찬 수의사입니다.

    호흡수가 편안할 때 분당 40~50이면 호흡수가 많이 빠른 편입니다.

    엑스레이의 경우 조건을 잘 맞춰고 최대 흡기떄 촬영읋 했을 조건에는 폐가 그렇게 좋아 보이지는 않습니다.

    그래도 심장의 크기는 그렇게 커보이지는 않네요

    과거 심장병 진단을 받으셨으면 흉부 방사선 외에 심장 초음파도 한번 촬영해보시기 바랍니다.

  • 안녕하세요. 이은수 수의사입니다.

    폐수종을 의심할 수준의 폐 침윤 양상은 관찰되지 않으나

    무정형의 간질성 침윤 양상이 관찰되어 노령성변화나 기관지염, 섬유화증 등을 의심할 수 있는 영상입니다.

    다만 증상이 비특이적이라 노령성 변화 가능성이 가장 높은것으로 보입니다.

    호흡수 평가는 https://diamed.tistory.com/m/335

    무엇보다도 잠잘때 호흡수가 중요하니 잠잘때의 호흡수를 최소 3회 이상 측정해보고 주치의와 상담 받아 보시는걸 추천합니다.