아하
  • 토픽

  • 스파링

  • 잉크

  • 미션


훙냥냥

훙냥냥

강아지가 가끔 꿀꿀? 코먹는 소리를 내요

반려동물 종류

강아지

품종

슈나우저

성별

암컷

나이 (개월)

6

몸무게 (kg)

6.7

중성화 수술

1회

자주 그러는건 아닌데 꿀꿀거리는 듯힌 소리를 냅니다

검색해봤을때 기관지협착증 얘기가 많던데..

병원갔을때는 문제가 없다고 그러셨거든요

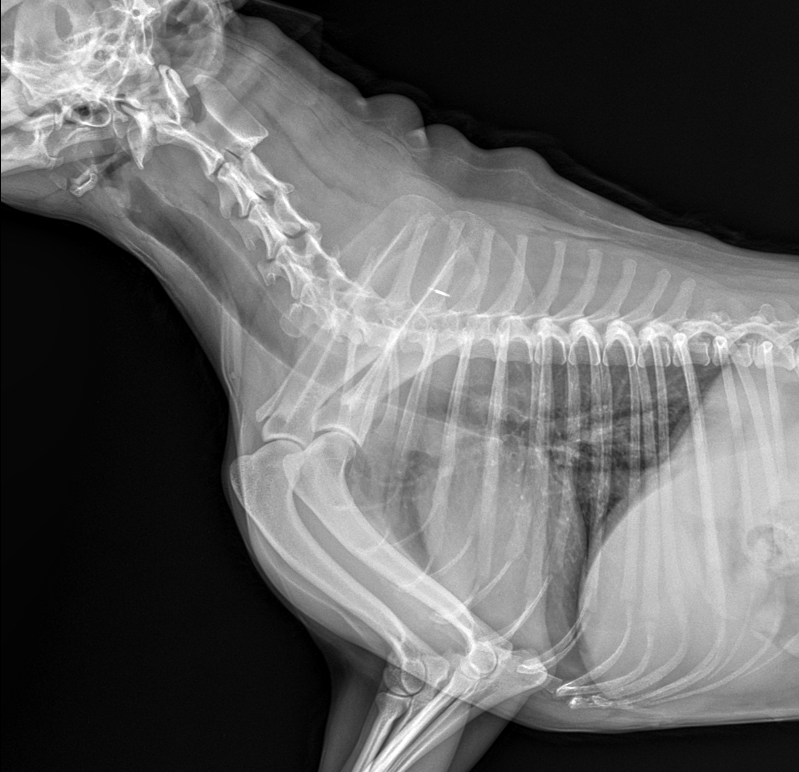
엑스레이 사진도 첨부합니다! 문제점이 뭘까요?



2개의 답변이 있어요!

  • 박주찬 수의사

    박주찬 수의사

    프리랜서

    안녕하세요. 박주찬 수의사입니다.

    기도가 정상이라면 콧구멍쪽이 문제일 수도 있습니다.

    호흡기쪽을 정밀하게 보기 위해서는 흉부 방사선 보다는 CT촬영 해보시는 것을 권장드립니다.

  • 안녕하세요. 이은수 수의사입니다.

    첨부된 사진에서 인후두부의 부종 양상이 경미하게 관찰되나 이를 확인하기 위해서는 전신 마취 후 육안으로 확인하거나 기관 내시경을 통해 확인해 볼 필요가 있으니 주치의와 상의 후에 이상 판단을 받기 위한 검진이 필요합니다.