아하
  • 토픽

  • 스파링

  • 잉크

  • 미션


의료상담

절대견고한망둥어

절대견고한망둥어

건강검진에서 잇몸퇴축 초기 증상 진단 받았습니다. 수술을 받아야 할까요?

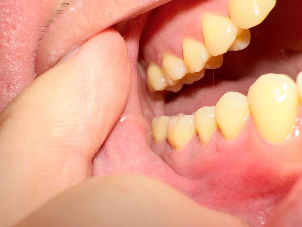
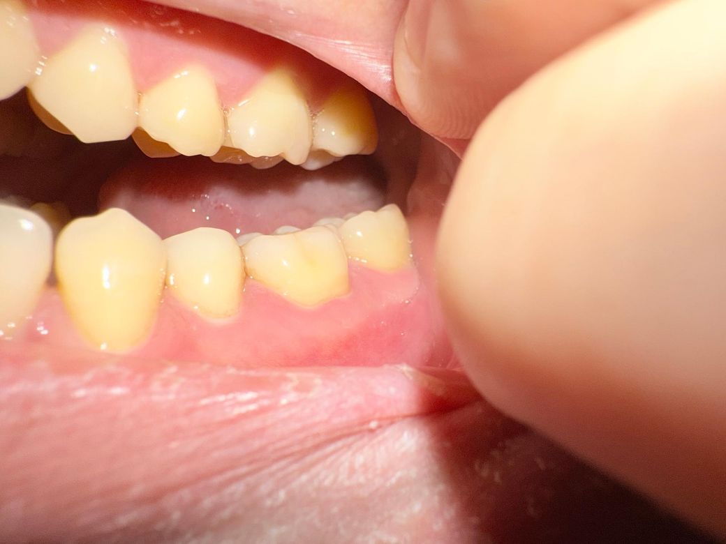
전체적으로 잇몸퇴축 현상이 있는데

어금니쪽 시린이가 생겨서 건강검진 받을때 물어봤더니

잇몸퇴축 초기 진단 받았습니다

양치질을 제가 평소에 세게 하는데 그게 주 원인이실거라고 설명해주셨습니다

칫솔질 칫솔 치약 전부다 교체해야 하며

어금니 쪽이 특히 더 내려갔다고 하십니다

전에 3년동안 다니던 치과에서는 이를 말해주지 않아서 인지를 못했다고 하니

그로인해서 생활습관 교정이 안돼서 대처가 좀 늦어졌다고 하셨습니다

그래서 다른 치과로 검진 한번 받아보러 가려고 하는데

이정도 상태면 지금부터라도 관리하면 진행도를 늦추거나

잇몸을 수복할 수 있을까요?

만약 지금 이 시린 상태가 없어지지 않는다면 수술을 받아야 하나요?

  • 1번 째 사진
  • 2번 째 사진
  • 3번 째 사진
  • 4번 째 사진
  • 5번 째 사진

4개의 답변이 있어요!

  • 안상우 치과의사

    안상우 치과의사

    목동안치과의원

    안녕하세요. 안상우 치과의사입니다.

    사진으로 봤을 경우에는 잇몸퇴축이 심해 보이지는 않습니다. 마모증으로 인해서 치아의 옆면이 깎여 있다면 마모증이 있는 부위를 치과용 재료로 충전할수 있습니다.

  • 안녕하세요. 김철진 치과의사입니다.

    일단은 최대한 관리를 해보시고 앞니 교합이 긴밀해서 그러는거 같으니 교합체크도 한번 받아보세요.

  • 안녕하세요. 김지훈 치과의사입니다.

    치아가 마모된 부분을 메꿔주신다면 시린증상에는 도움이 될 수 있으며 시린이 치약도 써보세요

  • 안녕하세요. 최석민 치과의사입니다.

    잇몸퇴축이 진행되고 있는 상황은 맞으나 생활습관과는 별개로 원래 30,40대 이후로는 노화현상으로 잇몸뼈, 잇몸이 조금씩 주저앉습니다.

    40-50대의 연령대라 가정하면 지금 상태는 크게 잇몸퇴축이 심각하다고 걱정할 정도는 아니며 잇몸 이식술은 현재로서는 필요 없습니다.

    과도한 압력으로 칫솔질을 하는 습관으로 인한 영향은 치은퇴축도 있겠으나 주로 치아 목 부위(치아와 잇몸 경계, 치경부) 마모입니다.

    시린 증상의 경우, 시린이 치약 쓰시고 치과에서 불소도포, 지각과민 처치 받은 후 증상 다시 체크해보시기 바랍니다.

    그래도 계속 시리다면 오른쪽 아래 큰 어금니 하나 정도는 노출된 치근면을 떼워주는 것도 좋을 것 같습니다.