아하
  • 토픽

  • 스파링

  • 잉크

  • 미션


의료상담

진짜로꿈많은마요네즈

진짜로꿈많은마요네즈

혀에 종기랑 목의 이물감 등 증상 성병일까요?

성별

남성

나이대

22

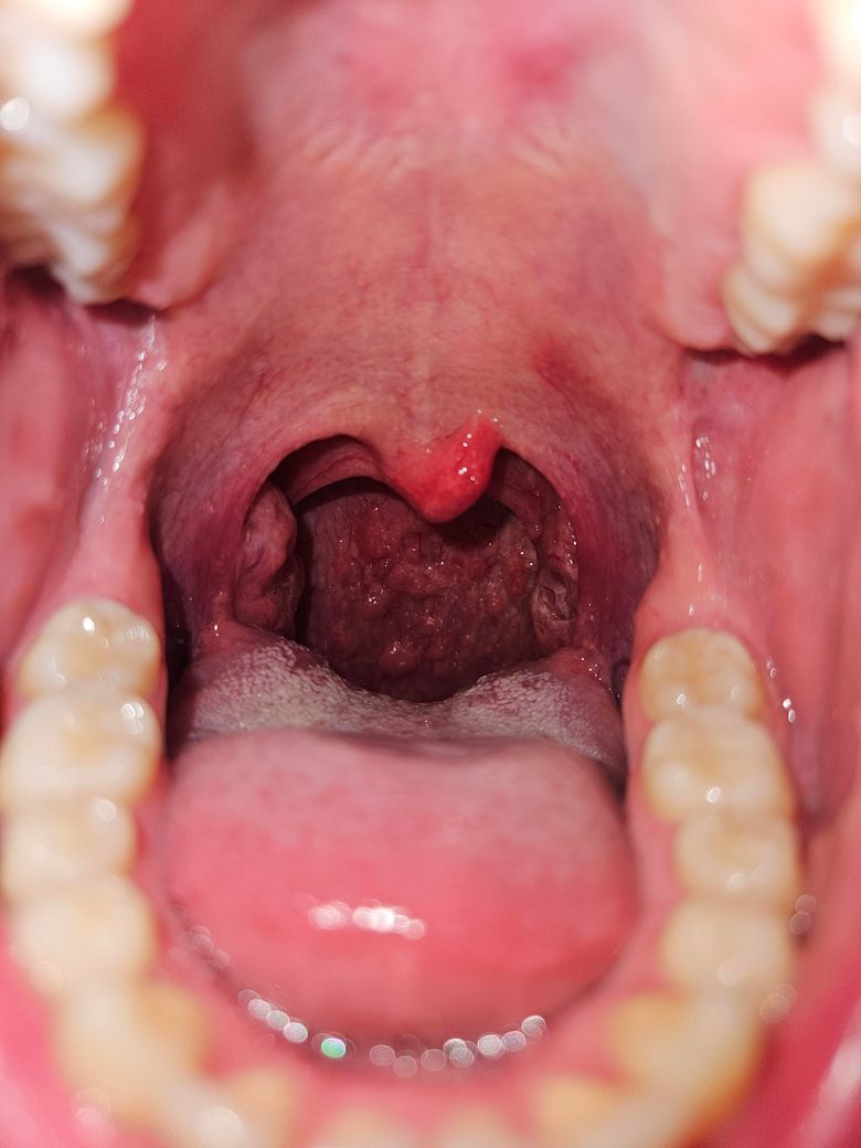
1,2주 전에 성관계를 했습니다. 콘돔은 착용하였고 구강 성교는 없었지만 키스는 많이 하였습니다. (하지만 3,4주 전에는 구강 성교 또한 하였습니다.... ) 그 다음날 정도부터 목에서 침이나 음식물을 삼키기 힘들 정도로 아팠습니다.

한 5일 정도 인후통 약을 먹다보니 꽤 호전이 됐습니다. 하지만 아직도 약간의 이물감이 남아있습니다. 그리고 2,3일 전부터 살짝 컨디션이 나쁘고 가끔씩 허벅지, 무릎, 겨드랑이쪽이 살짝 아플 때가 있습니다. 그리고 뭔가 최근에 입술과 손등에 아주 작은 빨간 반점도 하나 보이기 시작했고 오른쪽 목 옆쪽에 가렵지 않은 여드름? 같은것도 보입니다. 평소에도 여드름이 많고 자국도 많아서 빨간 반점을 찾기가 어렵습니다..

특히 혀는 하얀게 원래도 많았지만 평소보다 많아졌고 빨간 반점 같은 것과 식도 근처에 종기 같은게 보입니다... 사진에는 안보이지만 입 천장에는 만져도 안아픈 혹이 한 두개 정도 만져지고 혀 뒷쪽은 더 큰 종기 같은게 육안으로 더 보입니다.

성기 근처를 확인했을때는 평소랑 비슷해 보였고 가렵거나 배뇨 통증 등은 느껴지지 않았습니다.

현재 일본에 있는데 앞으로 1주 정도 더 있어야 합니다.... 꽤 중요한 약속이 있는데 취소하고 바로 돌아가서 병원에 가봐야 할지 고민입니다...

1주 후 정도에 바로 돌아가 진료를 받아도 괜찮을까요?

그리고 구강 성병이 의심 될 때 일반 비뇨기과나 이비인후과에서 검사를 받을 수 있을까요?

  • 1번 째 사진
  • 2번 째 사진
  • 3번 째 사진
  • 4번 째 사진
  • 5번 째 사진

1개의 답변이 있어요!

  • 김수비 의사

    김수비 의사

    QUB

    안녕하세요. 김수비 의사입니다.

    사진으로는 정확한 진단 불가능하며 병원 방문하셔서 직접 육안으로 진료 보셔야 합니다

    말씀하신 증상들, 목의 이물감, 혀의 종기, 입안의 붉은 반점, 체감되는 몸살 기운 등은 감기나 인후염 같은 일반적인 감염일 가능성도 있지만, 최근 구강 성교와 키스 이력으로 인해 구강 성병의 가능성도 배제할 수 없습니다. 특히 헤르페스, 매독, 임질, 클라미디아 같은 질환은 구강 내에서도 감염이 일어날 수 있으며, 일부는 통증 없는 궤양이나 반점, 종기 형태로 나타나기도 하죠

    1주일 후 귀국해서 이비인후과 또는 감염내과를 방문하셔도 늦지 않을 수 있지만, 그 사이 증상이 심해지거나 열, 부종, 통증 등이 커질 경우 일본 내에서도 병원을 가시는 것이 좋습니다.

    귀국 후에는 성병 감별을 위해 혈액검사와 구강 병변 PCR 검사가 가능한 병원을 찾는 것이 중요하며, 일반 비뇨기과보다는 STD 클리닉 또는 감염내과가 더 적합할 수 있습니다