아하
  • 토픽

  • 스파링

  • 잉크

  • 미션


의료상담

갑자기발랄한시금치

갑자기발랄한시금치

임플란트 필요 여부 궁금합니다. (사진첨부)

안녕하세요, 30대 후반입니다.

다른 치료를 위해 치과를 방문했다가 충격적인 이야기를 들어서..

다른 치과도 예약해놓은 상태에서 질문드려봅니다.

  • 아래 어금니 3개를 20대때 크라운치료 했는데 (대충 10년 정도 경과)

  • 잇몸에 고름? 같은게 종종 생겼다 없어졌다 하긴 했는데 큰 무리 없이 사용하다가

치과의사 : 신경치료 한 부분에 염증이 생겨서 지금 잇몸뼈가 녹아내리고 있다고.. 임플란트가 필요해 보이네요

나 : 임플란트 하기 전에 다른 치료 할 수 있는건 없나요?

치과의사 : 없어요. 재신경치료도 불가능 합니다.

너무 단호하게 임플란트밖에 답이 없다고 하셔서 심란하네요.

사진 첨부했는데 임플란트 말고는 치아의 수명을 연장할 수 있는 방안이 없나요? 아직 젊은데..

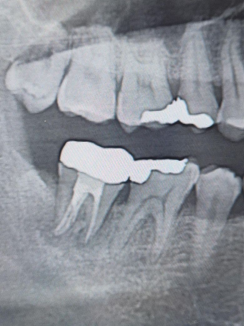
  • 1번 째 사진
  • 2번 째 사진

2개의 답변이 있어요!

  • 안상우 치과의사

    안상우 치과의사

    목동안치과의원

    안녕하세요. 안상우 치과의사입니다.

    오른쪽 어금니의 경우 방사선상 치조골의 손실형태가 J자 형태를 보이는 전형적으로 치근파절이 생겼을때 보이는 증상입니다.

    치아 뿌리에 금이 갔다면 결과적으로 발치를 하는 방법으로 치료를 하게 됩니다.

    왼쪽아래 어금니의 경우에는 신경관 감염으로 인한 치근단 질환으로 재신경치료를 해서 염증을 줄이는것을 시도해 볼수 있을것으로 생각됩니다.

    정확한 확인을 위해서 치과에서 진료를 받아 보는것을 권유드립니다.

  • 안녕하세요. 최석민 치과의사입니다.

    염증이 잡혀있긴하지만 아주 심각해서 당장 뺄 정도인지는 의문입니다 시간을 가지고 재신경치료, 치근단절제술 시도해볼만한 상황같습니다