아핫뉴스실시간 인기검색어
아핫뉴스 화산 이미지
화산 아이콘 11
윤석열 징역 5년 선고
많이 본
아하

의료상담

이비인후과

완벽히요염한팀장
완벽히요염한팀장

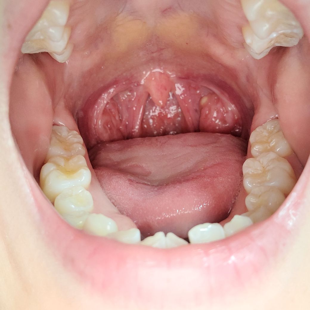
편도가 한 쪽만 커져 있고 덩어리 보이는데 괜찮을까요? (사진 첨부)

성별
여성
나이대
28

오른쪽 편도만 더 크고 하얀 덩어리가 보여서 걱정됩니다..

병원에선 콜레스테롤 덩어리라고 하는데 인터넷엔 같은 케이스가 안나와서 병원을 다녀와서도 신경쓰이네요..

신경 안써도 될까요??

현재 편도나 목이 아프진 않습니다

  • 1번 째 사진
  • 2번 째 사진
1개의 답변이 있어요!
  • 안녕하세요. 이송재 이비인후과 전문의입니다.

    사진상으로 보았을때 편도의 혹(양성종양) 으로 보입니다. 악성으로 보이지 않으니 걱정 안하셔도 됩니다.

    1명 평가