의료상담
구강내과 턱 MRI 어느 사진이 우측? 좌측?인지 어떻게 보나요? 디스크 두꺼워짐 심한가요?ㅜ
안녕하세요
구강내과 턱 MRI 사진 보는데 귀 위치가 다 똑같아서요
어느 사진이 우측? 좌측?인지 어떻게 보나요?
그리고 사진 상 디스크 두꺼워짐 심한가요?ㅜ
55글자 더 채워주세요.
2개의 답변이 있어요!
안녕하세요. 정진석 치과의사입니다.
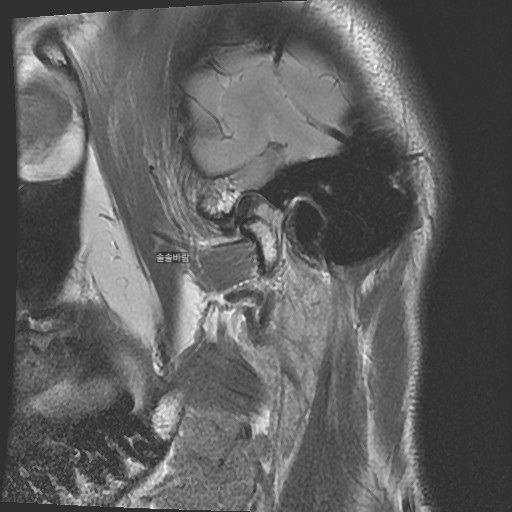
현재 사진만으로는 정확히 왼쪽이나 오른쪽이다 라고 할 수 없습니다. 이는 데이터 상의 reference가 필요하며 보통은 해당 부위가 질문자님 기준으로 좌측일 가능성이 가장 크나 이는 좌우 반전을 할 수 있기 때문에 무조건 좌측이라고 할 수 없습니다. 현재 개구시와 폐구시에 보았을 때 condyle (아래턱 부위의 일부)가 disc를 넘어가지 못하고 있으며 이러한 경우 개구제한이 있거나 넘어가더라도 소리가 나면서 넘어갈 수 있습니다. 일부 염증도 보이고 있으므로 내과적인 치료를 하셔야 할 것으로 보입니다.
아무쪼록 저의 답변이 문제 해결에 작게 나마 도움이 될 수 있기를 기원드립니다. 항상 건강하고, 행복하세요^^
정진석 치과의사 드림
안녕하세요. 김철진 치과의사입니다.
사실 일반치과의사는 턱관절 MRI를 판독하기 쉽지 않습니다. 일반적으로 구강내과전문의정도는 되야 판독가능하며, 왼쪽 오른쪽을 구분하는건 MRI에 표시되며, 정확한건 구강내과 전문의에게 소견을 듣는게 가장좋습니다.

