아하
  • 토픽

  • 스파링

  • 잉크

  • 미션


의료상담

aaaaaaaaaaa

aaaaaaaaaaa

25.01.16

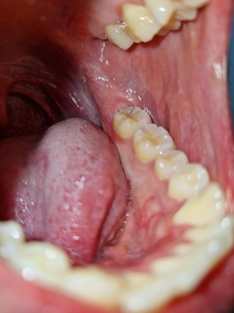
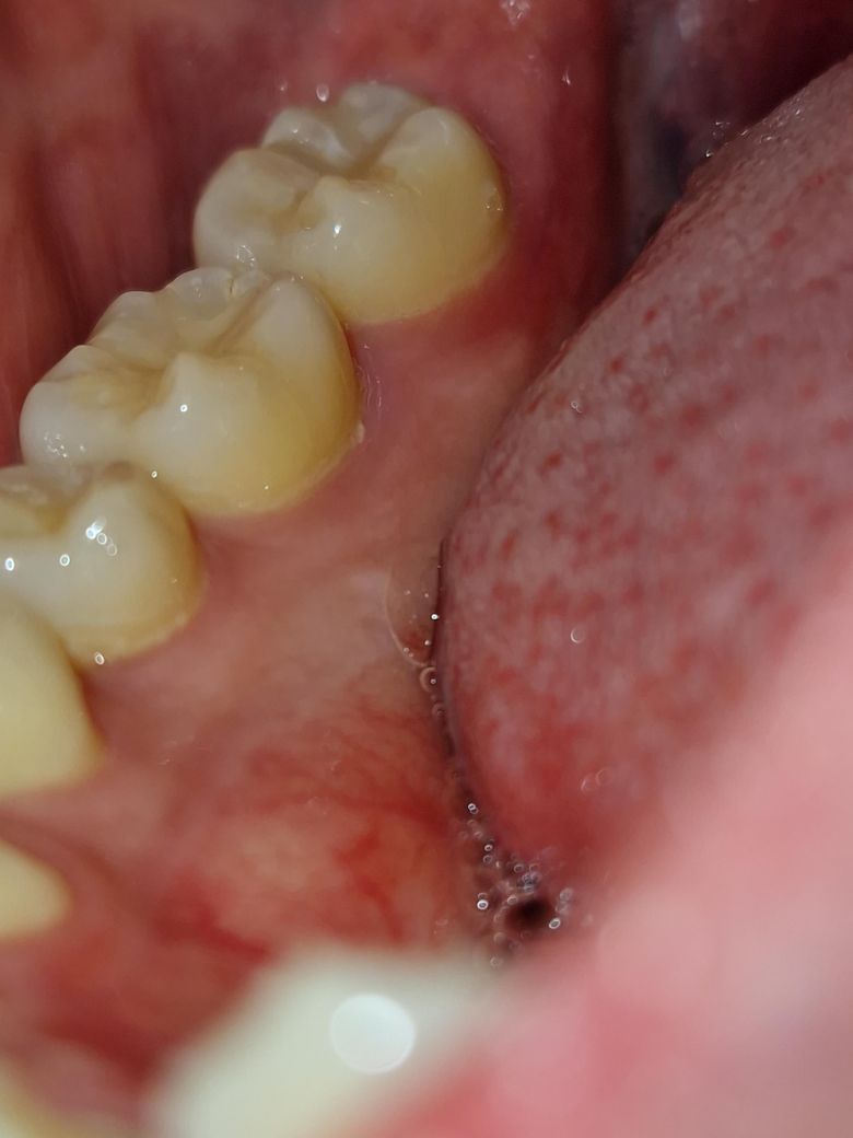
잇몸이 조금 빨갛고 말랑말랑 해진 것 같아요

어금니 쪽 잇몸 안쪽이 저렇게 빨개져있고 근처 잇몸이 약간 말랑거리는 느낌이에요. 통증이나 그런거 없고 잇몸 염증도 없었는데

어제까지 저렇게 빨갛지 않았는데 피곤해서 그런건지, 씹을 때나 양치 시에 생긴 상처같은 건지 자연 치유 될지 궁금합니다.

  • 1번 째 사진
  • 2번 째 사진
  • 3번 째 사진

4개의 답변이 있어요!

  • 김철진 치과의사

    김철진 치과의사

    가까운우리치과

    25.01.17

    안녕하세요. 김철진 치과의사입니다.

    잇몸에 단순염증이 생긴거 같습니다. 치과에 가셔서 스켈링을 받으시면 괜찮아 지실꺼 같습니다.

  • 안녕하세요. 송우식 치과의사입니다.

    한쪽으로만 씹거나 어금니에 과도한 힘이 가해지는 경우 잇몸에 스트레스를 줄 수 있습니다. 스트레스나 피로로 인해 면역력이 떨어지면 잇몸이 약해지고 염증 반응이 쉽게 나타날 있으며 초기 치은염 가능성도 있어보입니다.

    만약 증상이 심하지 않으면 자연적으로 좋아지나 잇몸 부위에서 통증, 출혈, 또는 고름이 동반 되거나 붓기가 더 심해지거나 주변 치아에 영향을 미치는 경우에는 치과 진료를 받길 권합니다.

    만족스러운 답변되셨으면 합니다.

    <평가> 감사합니다.

  • 안녕하세요. 김지훈 치과의사입니다.

    잇몸에 약간 염증기가 있는 것으로 보입니다. 상태가 심해보이진 않으니 조심하고 며칠 지내보셔도 됩니다.

  • 안녕하세요. 안상우 치과의사입니다.

    피곤으로 인해서 몸의 면역력이 떨어지게되면 혀의 미뢔조직에 염증이 생기면서 사진과 같이 붉은 점이 생길수 있습니다.

    잠을 충분히자고 면역력을 회복해 준다면 없어지는 경우도 있습니다.

    자세한 확안을 위해서 치과에서 진료를 받아보세요