아하
  • 토픽

  • 스파링

  • 잉크

  • 미션


의료상담

다소지조있는악어

다소지조있는악어

치과 진료관련 질문(충치 엑스레이로 구분법, 과잉진료?)

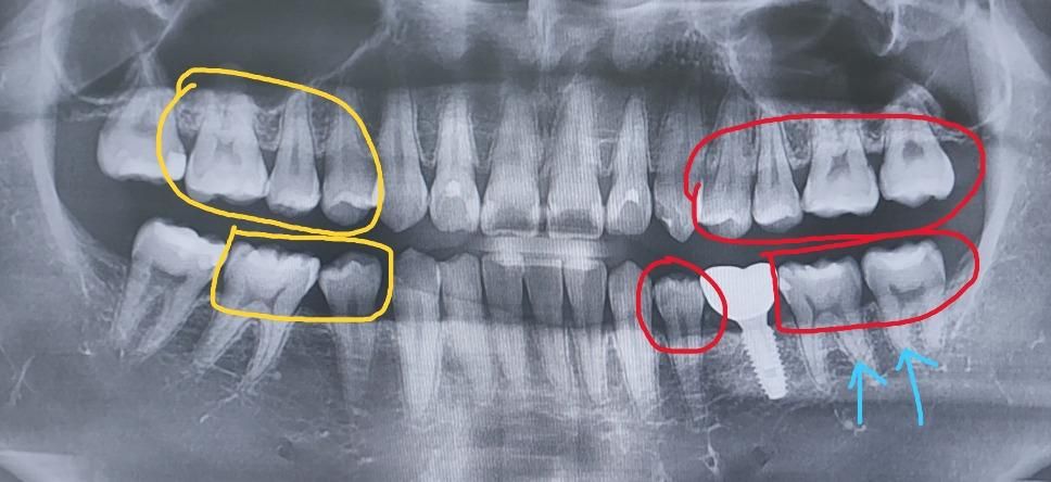
현재 만 24인 남성입니다. 최근에 치과진료를 하게되면서 사진과 같이 왼쪽 5개의 어금니 및 소구치를 인레이(지르코니아)로 치료진행을 하게 되었는데 치료를 진행하면서 느낀것이 인레이를 통한 비용도 한 몫 한 것도 있고, 사진상으로는 충치가 그렇게 많이 보이지 않아 과잉진료를 받았는 것인지 의문이 들어 질문을 작성하게되었습니다.

통상 치과 치료를 할 경우 검은 충치말고도 푸석푸석한 치아까지 다 제거를 하고 치료를 진행하는 걸로 알고있습니다. 그렇기에 이 변색되지 않고 푸석푸석한 치아는 사진상으로 밀도차이가 그렇게 나지 않는지가 궁금하고, 또 앞으로 빨간색 부분의 치과 치료(소구치는 인레이에서 레진으로 변경) 를 받을 것이지만 과잉진료를 최대한 피하기 위해 사진상으로는 충치가 많이 있는지 다른 치과 선생님들의 자문을 구하고자 사진을 올려봅니다. (경과를 지켜봐도 되는 치료 or 빠른시기 권장하는 치료)로 알려주시면 감사하겠습니다.

추가적으로 노란색 부분은 지르코니아 인레이로 치료가 되었습니다. 또한 파란색 화살표로 된 치아는 제가보기에도 검은색 충치가 안쪽까지 보여서 확실하다고 생각이 들었지만 다른 치아는 어떤 상태인지, 그냥 경과를 지켜보는게 좋은 것인지에 대한 답변을 해주시면 감사하겠습니다.

긴글 읽어주셔서 감사합니다.

  • 1번 째 사진

3개의 답변이 있어요!

  • 김철진 치과의사

    김철진 치과의사

    가까운우리치과

    안녕하세요. 김철진 치과의사입니다.

    전체적으로 치아 사이에 충치가 약간씩잇고 치료도 많이 받으신거 같습니다. 파노라마 상으로도 빨간색 부분은 치아 사이에 충치가 잇어 보이고 파노라마 사진보다는 더 작은 사진을 찍어보면 충치가 더 자세히 보일것같습니다. 충치가 잇으면 인레이 치료를 하시는게 좋습니다.

  • 안녕하세요. 안상우 치과의사입니다.

    방사선 사진만으로는 큰 충치가 보이거나 하진 않습니다. 하지만 충치는 사진뿐만 아니라 육안으로도 확인했을 경우 보이는 경우도 있기 때문에 육안으로 확인이 된 사진이 있어야 정확한 진단을 내릴 수 있을 것이라 생각됩니다.

  • 안녕하세요. 김지훈 치과의사입니다.

    일반인들은 구별하기 어렵습니다. 치과를 여러군데 방문하여 공통된 의견을 들어보심이 좋습니다.