아하
  • 토픽

  • 스파링

  • 잉크

  • 미션


의료상담

단호한돌고래37

단호한돌고래37

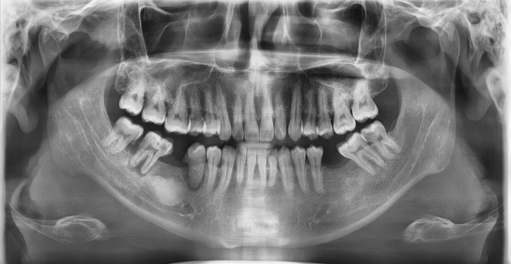
임플란트 질문 치아 엑스레이사진 첨부합니다

40대 남자 입니다

그동안 미루어 왔던 치과 치료를 할 생각이라 여러군데 치과를 다니며 견적을 받아 봤습니다.

병원마다 다른 치료방법과 금액이 나와 어떻게 해야 될찌 몰라 문의 드립니다.

현재 상태

-왼쪽 아래 어금니: 충치가 있으며, 일부 병원에서 발치 후 임플란트 2개 권장.

-왼쪽 위 어금니: 충치가 있어 크라운 치료 권장.

-오른쪽 아래 어금니: 충치와 뿌리 염증이 심해 발치 후 임플란트 3개 권장 (일부 병원은 2개 임플란트 + 브릿지 3개로 제안).

-추가 의견: 오른쪽 아래 발치 부위에 뼈이식 필요하다는 소견.

병원들의 주요 권장 치료

-왼쪽 아래 어금니: 발치 후 임플란트 2개.

-왼쪽 위 어금니: 크라운 치료.

-오른쪽 아래 어금니: 발치 후 임플란트 3개 (또는 2개 임플란트 + 브릿지 3개)뼈이식: 오른쪽 아래 발치 부위에 뼈이식 필요.

본인 희망 치료 계획

-왼쪽아래 어금니: 충치 치료 (발치 대신 보존).

-왼쪽 위 어금니: 충치 치료 후 크라운.

-오른쪽 아래 어금니: 발치 후 임플란트 2개 + 브릿지 3개.

-뼈이식 대안: 뼈이식 대신 엠도게인(Emdogain)으로 뼈 재생 후 3개월 뒤 임플란트 시술 고려.

질문

본인의 치료 계획이 적절한지?

오른쪽 아래에서 뼈이식 대신 엠도게인으로 뼈 재생 후 바로 임플란트가 가능한지?

전체적으로 어떤 치료가 가장 적합한지?

기타 의견이 있다면 답변 부탁 드리겠습니다

  • 1번 째 사진
  • 2번 째 사진
  • 3번 째 사진

2개의 답변이 있어요!

  • 김철진 치과의사

    김철진 치과의사

    가까운우리치과

    안녕하세요. 김철진 치과의사입니다.

    사진상에서 왼쪽 아래 치아들은 발치를 하고 임플란트를 하셔야될것같습니다. 뼈이식의 경우에는 발치하고 기다렷다가 하셔도 될것같습니다. 정확한건 CT를 찍어봐야 알수 잇을것같습니다. 그리고 사진상 오른쪽 아래는 치아가 많이 기울어져 잇어서 임플란트 하나를 심어도 옆에 기울어진 치아는 크라운치료를 해서 공간을 확보해야될것같습니다.

  • 안녕하세요. 최석민 치과의사입니다.

    1. 의료진과의 공감대 형성도 중요한 부분입니다 다만 지금 본인 의견이 의료진들의 치료계획과 아주 상이하진 않습니다

    2. 제일 큰 이견은 사진상왼쪽 아래 치아에 대한 치료방법 같은데 5번,7번치아는 신경치료를 시도해볼 순 있을것 같으나 치료성공을 장담하긴 어렵습니다

    3. 오른쪽 아래는 염증이 심하니 발치먼저하고 뼈이식 하고 기다리면서 나머지 살릴 수 있는 치아 살리고, 그 뒤 임플란트 하면 됩니다

    4. 엠도게인 논리는 현재 질문자 잇몸뼈 상태에 부적절합니다