아하
  • 토픽

  • 스파링

  • 잉크

  • 미션


의료상담

은근히진지한시추

은근히진지한시추

편고수술후 편도부위에 구내염같은게 생겼어요 재수술해야하나요?

성별

남성

나이대

20

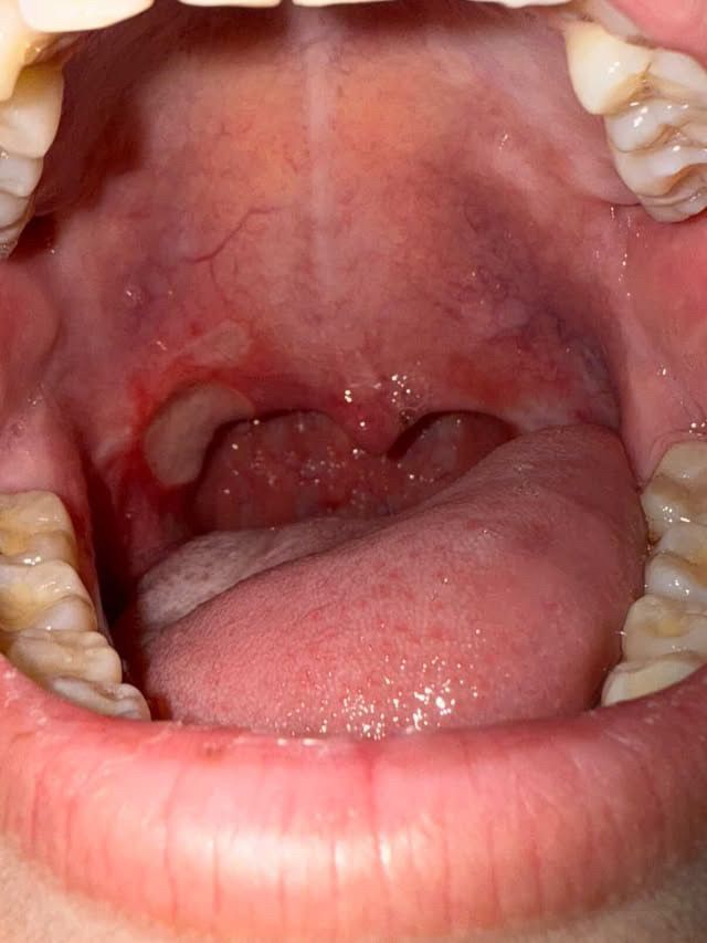
3달전에 편도수술을 하고 잘지내고있었는데 갑자기 목쪽에 구내염같은게 생겨서 병원에 가보니 염즘이라고 약만 먹었는데 일주일이 지나도 났질않고 점점커지며 피까지 납니다 재수술을 해야할까요

  • 1번 째 사진
  • 2번 째 사진
  • 3번 째 사진

아직 답변이 없어요.