아하

의료상담

치과

영특한하마276
영특한하마276

어금니 임플란트 시, 옆치아들과 사이 공간이 최소 몇 mm가 필요한가요?

제 1대구치 자리에 임플란트를 하는 경우, 양 옆 치아와 사이 공간이 최소 몇 mm가 있어야 가능할까요?

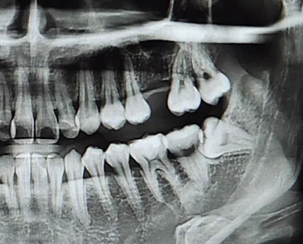
한 병원에서 뿌리쪽 공간은 괜찮은데 위에 이가 나 있는 부분 공간이 5-6mm정도로 좁아서 교정까지 필요하다는 소견을 들었습니다. 공간이 최소 8mm가 필요하다고 하셨어요. 다른 병원에 가도 다 교정까지 필요할까요? 나이는 20대중반입니다.

혹시 부분교정으로 사랑니와 제1대구치를 당겨서 자연이를 살리는 게 가능할지도 궁금합니다

  • 1번 째 사진
2개의 답변이 있어요!
  • 안녕하세요. 최석민 치과의사입니다.

    어느정도 두께의 임플란트 뿌리를 심느냐에 따라 다릅니다.

    흔히 사용되는 4~5mm의 임플란트 두께에 자연치아와의 간격은 최소 1.5mm 이므로 양쪽으로 생각하면 7~8mm의 잇몸뼈 공간이 있어야합니다.

    이건 임플란트 뿌리를 위한 잇몸뼈 공간 필요량이고, 병원에서 설명 들으셨다시피 이건 괜찮습니다.

    1. 다만, 임플란트 머리부분이 지금 다소 좁은데 이렇게 되면 임플란트 머리(크라운) 가 금방 깨져나갈 수도 있고, 음식물이 잘 낄 수도 있습니다.

    2. 교정을 한다면 사랑니 빼고, 두번째 어금니를 조금 뒤로 밀면 될 것 같습니다. 그렇게 복잡한 교정은 아닐 것 같고요

    3. 교정을 원치않으시면 두번째 어금니 옆면을 조금 삭제하고 공간을 만들 수도 있습니다.

    4. 진단은 당연히 치과마다 다를 수 있습니다. 좁은 공간이지만 심자고 할 수도 있고요. 이건 경험의 차이기도하고, 치료 원칙과 가치관의 차이이기도 합니다.

    5. 사랑니랑 그 앞 어금니를 견인해와서 제1대구치 자리로 가져다 두는 교정방식도 있긴 한데 그건 좀 오래걸릴 수도 있고 가능할지는 잇몸, 잇몸뼈 상태 좀 더 체크해봐야합니다.

    1명 평가
  • 안녕하세요. 김철진 치과의사입니다.

    저정도 공간이면 인접치아의 삭제를 조금 해야 보철물을 올릴공간이 확보될꺼같습니다 추후에 인접치를 다듬으시면될것같습니다.

    1명 평가