아하
  • 토픽

  • 스파링

  • 잉크

  • 미션


의료상담

놀라운멧돼지29

놀라운멧돼지29

제 아랫 쪽 사랑니 난이도가 어떻게 되나요?

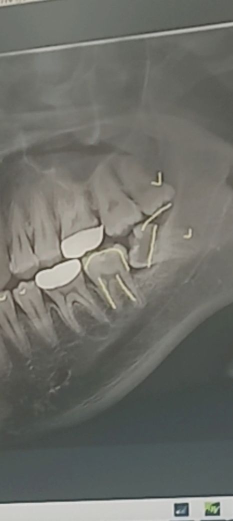
우선 제 문제의 사랑니 사진입니다.

제가 치과를 너무 무서워하는데 사랑니를 뽑으려니깐 더 겁이 나더라구요... 이 정도면 아래 쪽 사랑니

난이도가 어떻게 될까요 선생님...?

그리고 총 4개의 사랑니 중 3개는 이쁘게 잘 났는데 저 하나만 말썽이여서 뽑긴 뽑아야하는데 사랑니를 하나를 뽑아도 상관없죠? 나머지는 관리를 잘 해주면 바르게 난 사랑니를 굳이 발치 하지 않아도 되죠?

  • 1번 째 사진

5개의 답변이 있어요!

  • 안상우 치과의사

    안상우 치과의사

    목동안치과의원

    안녕하세요. 안상우 치과의사입니다.

    기울어진 사랑니의 경우에는 난이도가 높은 발치에 속합니다.

    치아를 발치할경우 치아를 자르면서 제거를 하게 됩니다.

    기울어진 치아는 쉽게 충치가 생기기 때문에 발치를 하거나 발치를 하지 않는다면 워터픽등으로 잘 관리를 해주는것이 좋습니다.

  • 안녕하세요. 송우식 치과의사입니다.

    방향이 기울어서 나는 매복사랑니의 경우 바로 앞 어금니에 걸리게 됩니다. 따라서 누운 사랑니를 그냥 두면 바로 앞 어금니를 상하게 하는 경우가 많기에 가능한 빠른시일내에 발치를 하는 것이 좋습니다.

    통증 없다고 두면 바로 앞 어금니가 서서히 하게 되어 사랑니와 바로 앞 어금니와 같이 뽑는 경우가 생길 수 있습니다.

    궁금증 해소에 도움이 되시길 바라며, 도움이 되신 경우 ‘추천’ 부탁드립니다. 감사합니다.

  • 안녕하세요. 김철진 치과의사입니다.

    난이도가 크게 높은건 아닌거 같습니다. 완전 매복치아가 아니기떄문에 치아 머리를 삭제하고 발치를 하시면될것같습니다.

  • 안녕하세요. 김지훈 치과의사입니다.

    나머지 사랑니도 웬만하면 빼시는 게 좋긴 하며 뽑아봐야 알지만 난이도가 크게 높은 사랑니는 아닙니다.

  • 안녕하세요. 치아를 사랑하고 아끼는 치과의사 최석민입니다.

    1. 일반적인 수술발치(잇몸을 절개하여 열고 사랑니를 뽑는 발치) 수준의 난이도 입니다.

    2. 다만 아래턱의 큰 신경이 지나는 길이 있는데 근접해 있으므로 추가적으로 위치 등을 확인하기 위해 CT를 찍어봐도 좋을 것 같습니다.

    3. 바르게 난 사랑니는 불편하지 않다면 뽑지 않아도 되나 말씀하신 것처럼 관리를 잘해줘야 합니다.