아하
  • 토픽

  • 스파링

  • 잉크

  • 미션


의료상담

갈수록웃는라면

갈수록웃는라면

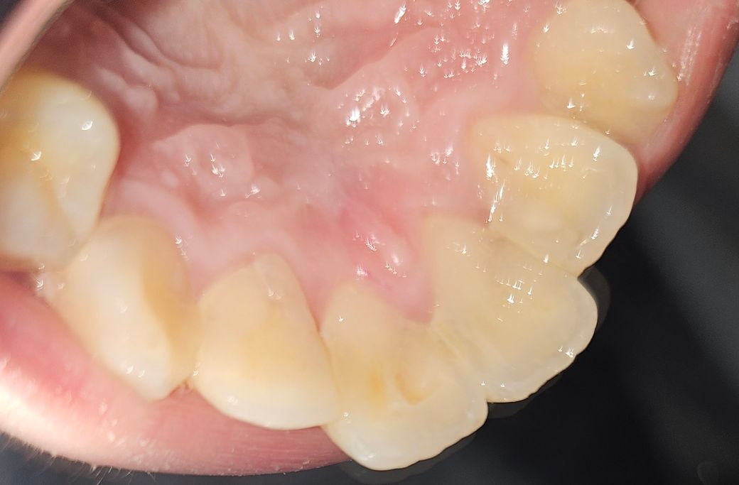
치료한 앞니에 충치가 생긴건지 궁금해요

2월즈음에 앞니(큰대문니와 양옆 작은대문니) 충치치료를 하였는데 최근 큰대문니와 작은대문니 앞니앞쪽이나 뒷쪽을 보니 얼룩같이 생겨서요.

단순 레진 변색인지 아니면 또 충치가 생긴건지 걱정이라 여쭤봐요.

  • 1번 째 사진
  • 2번 째 사진

4개의 답변이 있어요!

  • 김지훈 치과의사

    김지훈 치과의사

    메가

    안녕하세요. 김지훈 치과의사입니다.

    충치의 가능성이 높아보이지는 않지만 가능성은 있어보입니다. 치과에서 확인해보시는 게 좋겠습니다.

  • 안녕하세요. 송우식 치과의사입니다.

    레진 자체의 색깔이 치아색과 똑같지는 않으니 색상 차이인 것으로 보입니다. 그리고 치석이 끼여 있으니 스켈링 해야 합니다.

  • 안녕하세요. 김철진 치과의사입니다.

    정확한건 엑스레이를 찍어봐야 알겟지만 충치는 아닌거 같습니다. 치아가 빛에 비춰서 저렇게 보이는거 같습니다.

  • 안녕하세요. 최석민 치과의사입니다.

    가능성은 반반일 것 같습니다. 좀 더 확실히 하려면 엑스레이를 찍어봐야하고, 평상시 통증 등의 증상도 중요합니다.