아하
  • 토픽

  • 스파링

  • 잉크

  • 미션


의료상담

어린당나귀152

어린당나귀152

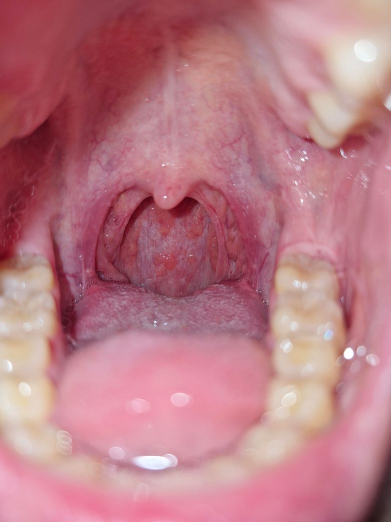
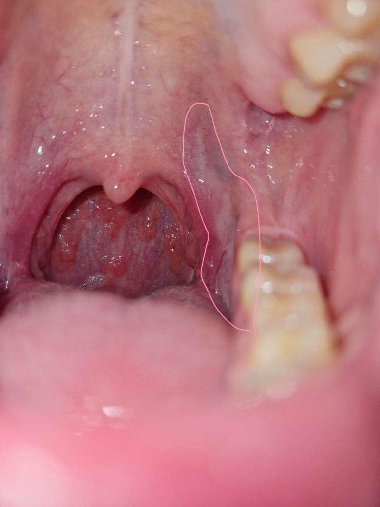
입안 백반증인가요? 한번봐주세요 ㅠ

생긴지는 꽤 됐는데 그냥 다들 그런가보다 하고 살았는데, 급 걱정이 돼서요. 근데 몇개월째 인후통이 간간히 있고 혀 안쪽이 아파서요... 입이 전체적으로 빨간기가 있습니다 ㅠㅠ넘 걱정돼요

  • 1번 째 사진
  • 2번 째 사진
  • 3번 째 사진

2개의 답변이 있어요!

  • 김철진 치과의사

    김철진 치과의사

    가까운우리치과

    안녕하세요. 김철진 치과의사입니다.

    사진상에 보이는건 백반증은 아니고 오히려 인후통은 편도에 문제 때문에 생긴거 같습니다.

  • 안녕하세요. 송우식 치과의사입니다.

    백반증으로 보이지는 않으나 구내염으로 보입니다. 우선 소독용 헥사메딘 가글액으로 가글하여 관리하여 주길 권하며, 빨간기와 통증, 그리고 몇 달 이상 지속되는 인후통은 자세한 검사가 필요로 됩니다.

    만족스러운 답변되셨으면 합니다.

    <평가> 감사합니다.