아핫뉴스
실시간 인기검색어
1
구룡마을 화재 대응
2
코스피 4800선 사상 첫 돌파
많이 본
3
트럼프發 비트코인 악재
4
중앙대병원 집중치료병원 선정
5
행정통합 인센티브 발표
6
대한항공 주가
7
박영재 법원행정처장 취임
8
병무청 병역진로설계
9
흑백요리사 시즌3 제작 확정
10
합천 여성민방위 간담회
홈
토픽
스파링
아핫뉴스
잉크
미션
전문가 신청
베리몰
나도 질문하기
정형외과
의료상담
정형외과
멋쩍은거위200
22.08.19
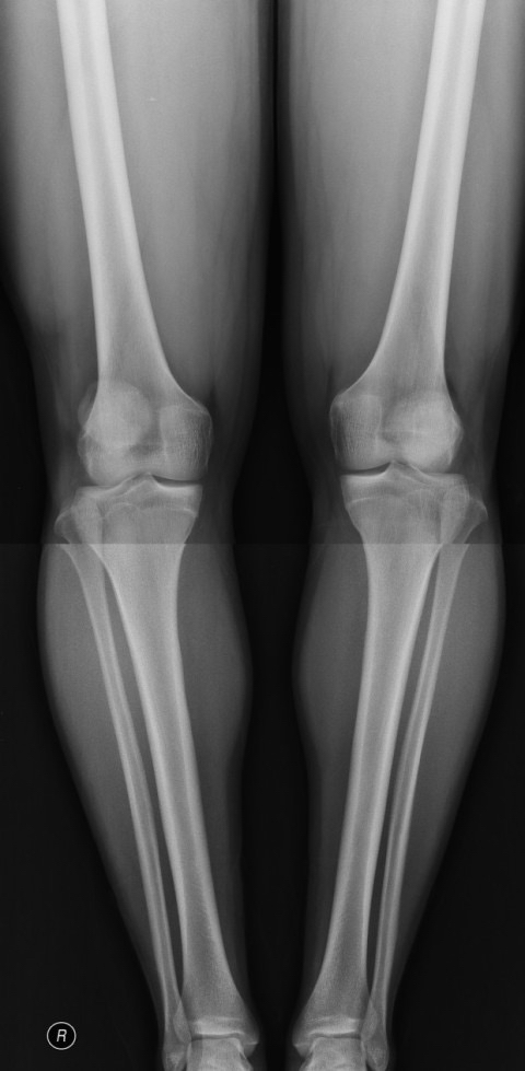
17세 엑스레이 사진 골연령과 성장판
성별
남성
나이대
21
위 사진은 17세때 찍은 엑스레이 사진인데 골연령하고 성장판 나이좀 알려주세요 ! 그리고 남자는 골연령 몇살까지 성장하나요 ??
사진 보기
1개의 답변이 있어요!
김경태 의사
에스병원
∙
22.08.20
안녕하세요. 김경태 의사입니다.
무릎뼈사진으로 골연령을 측정하지는 않습니다. 손뼈를 찍어야합니다.
성장판은 아직 열려있는것 같네요.
평가하기
0
0