아하

의료상담

내과

늘엄숙한재규어
늘엄숙한재규어

간에 혹이 있는건가요? 초음파 사진 봐주세요

성별
남성
나이대
50대

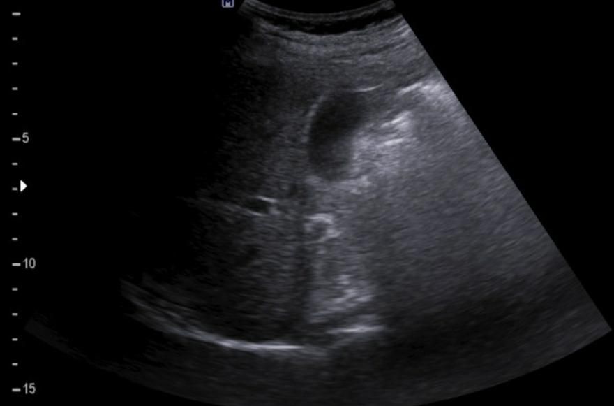
간에 혹이 있는건지 맞다면 크기나 모양이 혈종인지 아이면 암으로 의심이 되는지 초음파 사진 봐주세요...ㅜㅜㅜ꼭 답변 부탁드립니다

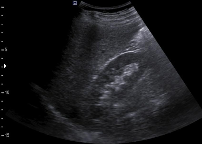
  • 1번 째 사진
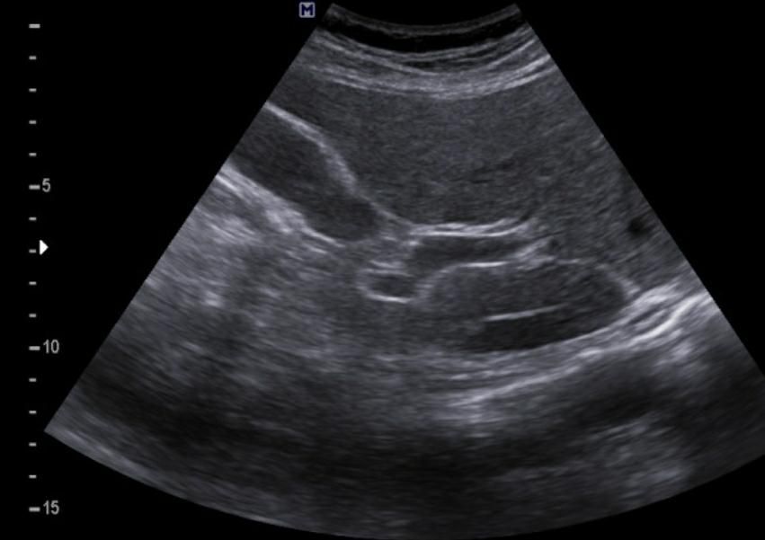
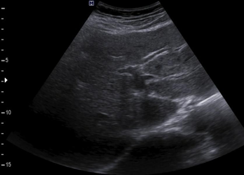
  • 2번 째 사진
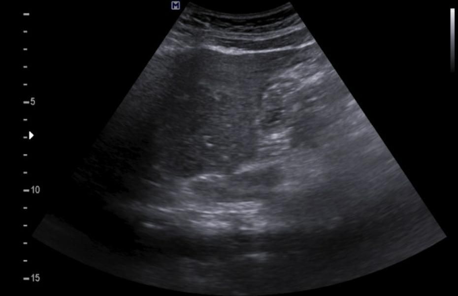
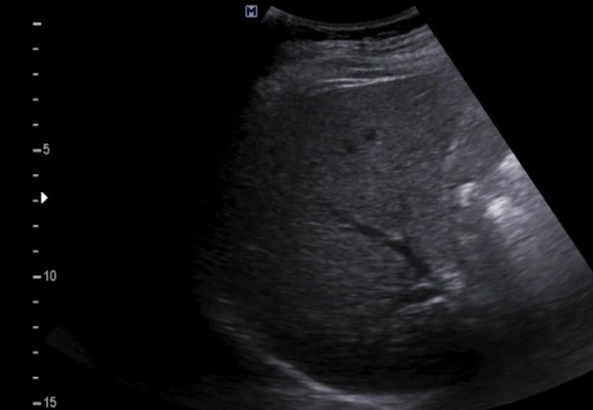
  • 3번 째 사진
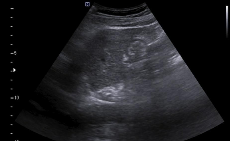
  • 4번 째 사진
  • 5번 째 사진
  • 6번 째 사진
  • 7번 째 사진
  • 8번 째 사진
  • 9번 째 사진
2개의 답변이 있어요!
  • 안녕하세요. 채홍석 가정의학과 전문의입니다.

    업로드해주신 증상의 설명과 자료는 잘 보았습니다.

    초음파의 경우 영상만큼 중요한 것이 판독소견입니다.

    판독소견을 같이 올려주세요

    1명 평가
  • 안녕하세요.

    간 초음파로만 봐서는 약간의 지방간이 관찰되지만 혈종으로 의심되지는

    않으며 사진 우측에 보이는 동그란 부분은 장의 단면이 관찰되었을 가능성이

    높은 것으로 보입니다