아핫뉴스실시간 인기검색어
아핫뉴스 화산 이미지
아하

의료상담

이비인후과

완전호감있는사탕
완전호감있는사탕

입안볼점막에 생긴 피멍자국들원인요

성별
남성
나이대
58
기저질환
간경화
복용중인 약
항바이러스제

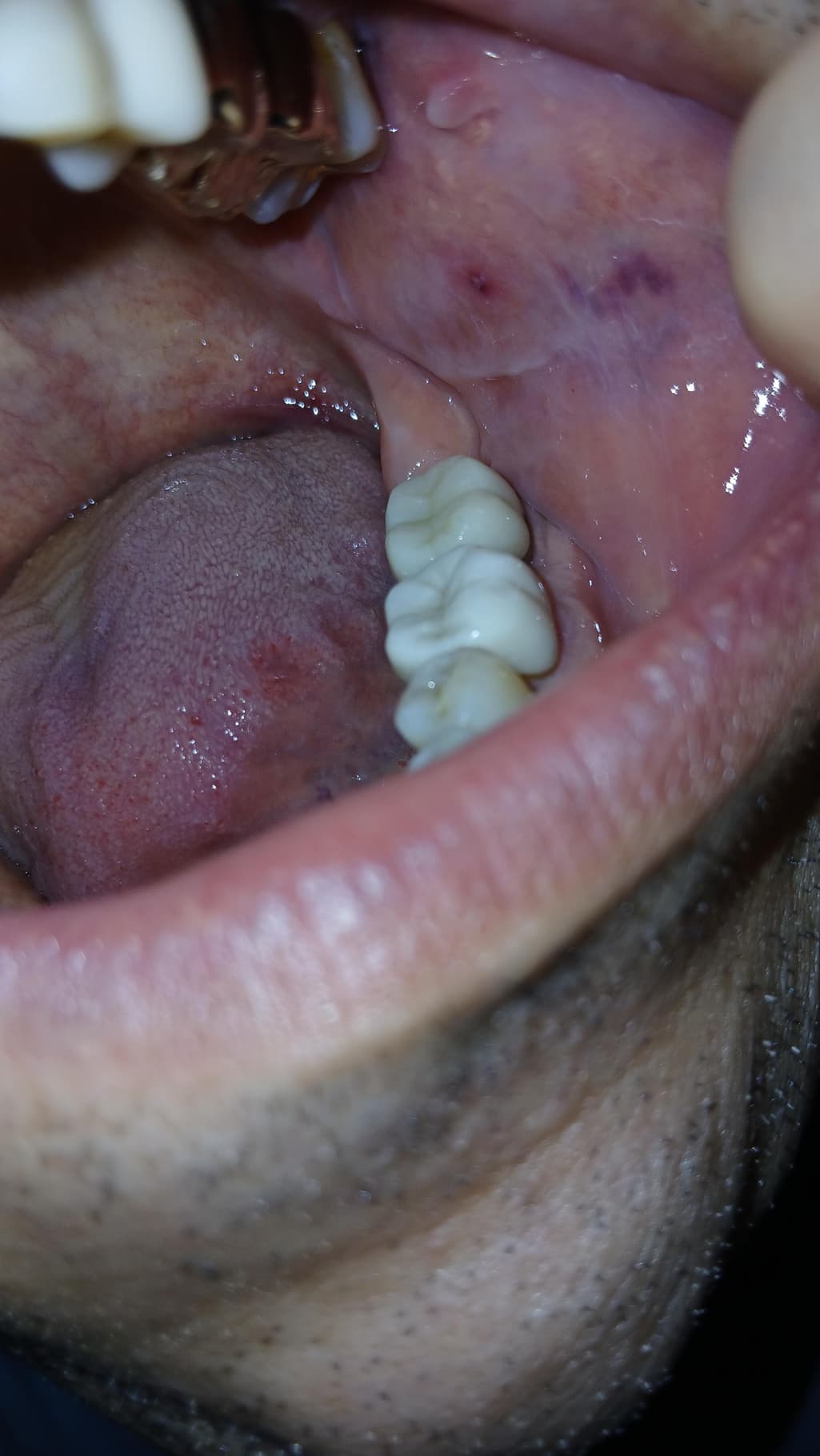
갑자기 입안볼점막에 사진과같이 붉은상처인지 볼점막에 피멍이 들어있습니다

음식을 먹다가 씹어서 그런걸까요? 전혀아프지않아요

  • 1번 째 사진
55글자 더 채워주세요.
1개의 답변이 있어요!
  • 정확한 진단과 치료는 의사의 진료통해 확인하는 것이 필요합니다. 아래 내용은 참고만 해주세요.

    입안 볼 점막에 생긴 피멍 자국은 여러 원인으로 발생할 수 있습니다. 음식을 먹다가 볼을 씹는 경우, 혈액 응고 장애, 약물 부작용, 또는 특정 질환의 증상일 수도 있습니다. 현재 복용 중인 항바이러스제나 기저 질환인 간경화도 관련이 있을 수 있으므로, 정확한 원인을 파악하기 위해 병원을 방문하여 진료를 받아보시는 것이 좋겠습니다.

    특히 간경화 환자분들은 혈액 응고 기능에 이상이 생길 수 있으므로, 출혈 경향이 높아질 수 있습니다. 따라서, 현재 상태에 대해 담당 의사 선생님과 상담하여 필요한 검사를 받고, 적절한 조치를 취하는 것이 중요합니다. 불편함이 없더라도, 추가적인 문제가 발생하지 않도록 꼭 전문가의 진료를 받아보시길 권유드립니다.

    1명 평가
PC용 아하 앱 설치 권유 팝업 이미지장도연이 추천하는 아하! 앱으로 편리하게 사용해 보세요.
starbucks
앱 설치하고 미션 완료하면 커피 기프티콘을 드려요!