아하
  • 토픽

  • 스파링

  • 잉크

  • 미션


의료상담

한결같이엄격한스테고사우루스

한결같이엄격한스테고사우루스

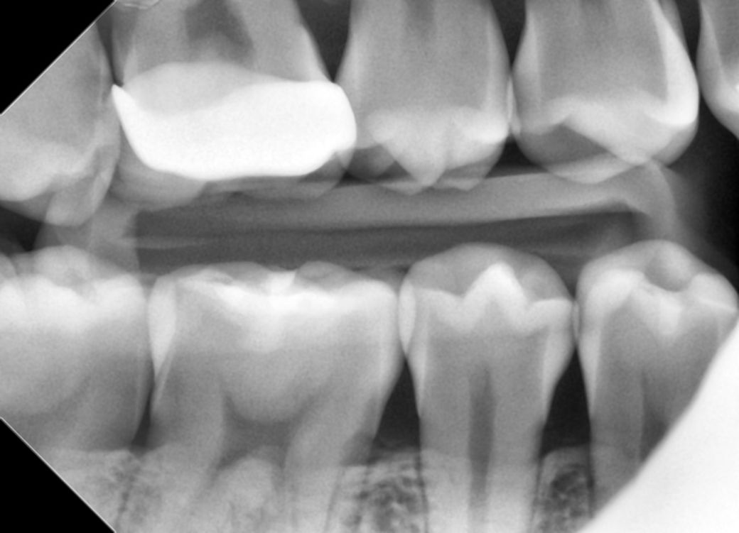
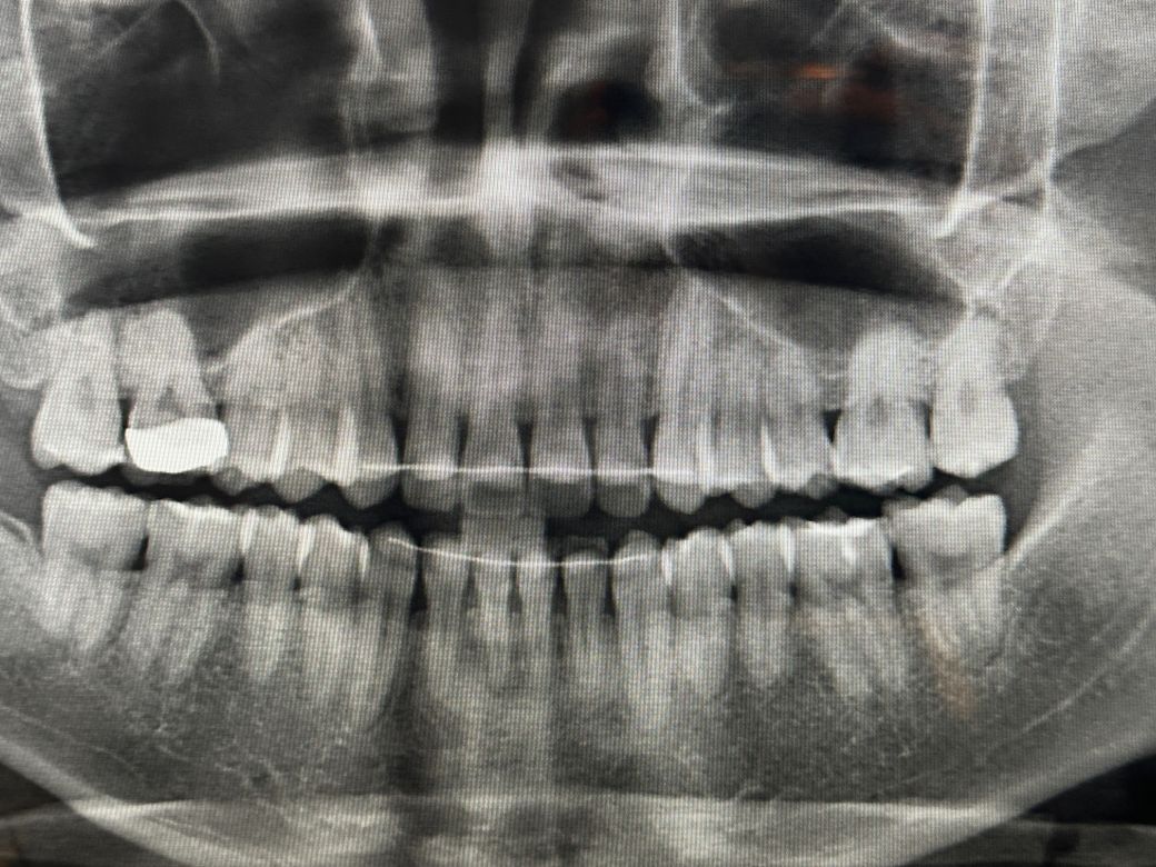
이거 인접면 충치인가요? 여러군데 갔는데 헷갈려요

오른쪽 상악 어금니인데 총 3군데 치과를 갔습니다 원래 1면전부터 이부분에 깨진면이 있었습니다 이 부분을 첫번째 치과에서 바이트윙 찍고 인접면 충치가 있어서 신경치료 가능성까지 언급하시더라고요 그래서 두번째 치과를 갔는데 육안이랑 파노라마까지만 보시고 없다고 깨진부분만 레진으로 떼워주셨어요 그래도 미심쩍어서 세번째 치과갔는데 여기는 이 파노라마랑 육안에 넣고보는 카메라로 보셨는데 여기도 없다고 하시더라고요 첫번째 같이 심한데 두곳이 모른걸까요 아니면 별로 없는것 같나여 보기에는 둘다 맞아보여서 질문합니다

  • 1번 째 사진
  • 2번 째 사진

2개의 답변이 있어요!

  • 최석민 치과의사

    최석민 치과의사

    강원도 원주의료원

    안녕하세요. 최석민 치과의사입니다.

    1. 충치가 있는것은 맞습니다. 원래 인접면 우식의 경우 교합면보다 신경과 거리가 짧기 때문에 신경치료 가능성은 루틴하게 언급됩니다.

    2. 레진으로 잘 떼웠고 현재 증상 없으면 괜찮습니다.

    3. 해당 부위 충치가 생긴 건 아무래도 그 앞 크라운의 마진이 아주 핏하게 맞지 않기 때문입니다. 그 사이로 계속 침과 음식물이 끼어 들어가니 충치가 생길 수 밖에 없죠. 평소에도 본인이 해당 부위 음식물이 잘 낀다고 느꼈다면 크라운 재제작을 하여 문제를 적극적으로 해결하거나 아니면 적어도 해당 부위 치실이나 치간칫솔로 아주 꼼꼼하게 관리해주셔야 합니다.

  • 안녕하세요. 천우선 치과 전문의입니다.

    일단 바이트 윙 사진에서는 인접면 충치가 없어 보입니다 두번째 치과에서 파노라마 찍고 레진 치료 하신 거 같고 세번째 치과에서 눈으로 보시니 인접면 충치가 없고 레진 치료까지 했으니 정상이라고 한거 같습니다 아무튼 현재 상태는 이제 정상 소견 같아 보이니 너무 걱정 않으셨으면 합니다